Important update for our patients regarding Covid-19 (Coronavirus)
As of 25th March 2020 our clinic has temporary closed due to the Covid-19 Pandemic.
During normal working hours, someone from our upper management will always be available to speak to. (9am-7pm Mon-Friday)
Outside of working hours, kindly email us on contact@dentalonthebanks.co.uk or send us a text message/WhatsApp message on 07851183270. We will endeavour to reply to messages and emails 24 hours a day for all of our patients.
If you have an emergency please call for initial triage as we are only seeing emergency cases. Regretfully Walk ins can not be accommodated at this moment in time. No treatments will be carried out but we will be providing consultation, advice and guidance to support our patients.
The Government and the NHS are constantly updating the information on Covid-19 as the situation progresses. Please use the links below to keep up to date on the current guidelines.
We wish to thank all our patients for their understanding and co-operation at this time. Safe Safe.
Orthodontist - Braces in Bournemouth, Poole, Canford Cliff
Dental on the Banks offers the latest types of braces and teeth straightening treatments to meet all of your needs and expectations. These options include clear ceramic braces, Incognito (braces fixed behind the teeth which are also known as lingual braces), Invisalign and Six Month Smiles. We have treated patients of all ages – ranging from ages five to eighty – as we know that it is never too late to straighten your teeth and get that smile of your dreams.
Both our orthodontic specialists, Dr Damon Taheri and Dr Ramtin Taheri, have been treating NHS patients and private patients between England and Sweden and have a real and tangible passion for what they do. Their dream was always to open a practice that fulfilled their vision of providing unparalleled dental care to patients with no limitations thanks to state-of-the-art facilities and innovative dental technologies. Dental of the Banks was created to turn this dream into a distinct dentistry reality.
They frequently attend international conferences to ensure they always stay up to date with the latest developments in the world of braces and on the pulse of trends to ensure they can provide the best treatments for their patients. When it comes to straightening teeth, the Taheri brothers do not simply focus on this single straightening aspect but take into consideration the whole face and how the teeth fit as a part of it.
They also take the lips into account too – therefore enabling the creation of the most natural and beautiful finish for your smile. All treatments are evidence-based which means that you are receiving safe and effective treatment. We take no shortcuts in providing you with the best possible results.
Dr Ramtin Taheri has a special interest in lingual braces which are known also as Incognito (virtually invisible, these are fixed behind the teeth). He has travelled internationally to lecture on this topic to distil his expertise in the area to dentists around the world. Of particular note, he recently received the prestigious award for the ‘Best Child Case Treatment’ for the whole of 2017 at the Private Dentistry Awards.
Clear Ceramic Braces
These are an option similar to traditional braces, except the brackets (the parts that are bonded to the teeth), are crafted from ceramic to match the shade of the teeth they are being applied to. They are less noticeable than traditional metal braces but work just as well to create your beautiful smile. Much like traditional braces, they are always working on your smile because they are always on your teeth.
Incognito
A revolutionary advancement in the field of teeth straightening; Incognito braces are fitted safely behind the teeth instead of in front of them. Known also as lingual braces, they offer you a virtually invisible teeth straightening treatment. Like traditional braces, Incognito braces also consist of brackets and wires. However, state-of-the-art technology has been utilised with them to create an appliance that is 100% customised to your teeth and mouth – allowing them to be placed perfectly behind your teeth.
Arguably the biggest revolution in orthodontics in recent has been the introduction of Invisalign. We can now straighten teeth without the headaches of irritating brackets or the difficulty of keeping your teeth clean while wearing more traditional teeth straightening methods. Invisalign consists of a set of clear custom made trays for your teeth that successively move them into the perfect position as prescribed by your orthodontist.
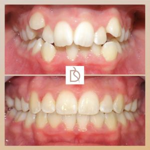
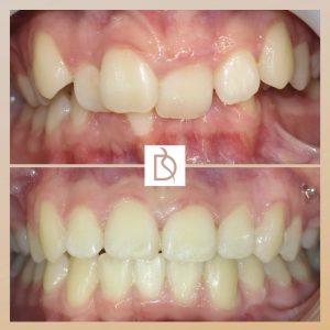
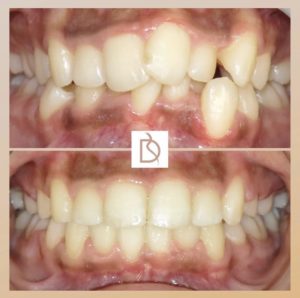
TAKE A PEEK AT SOME OF OUR LIFE-CHANGING BEFORE & AFTER CASES
Lorem Ipsum is simply dummy text of the printing and typesetting industry. Lorem Ipsum has been the industry’s standard dummy text ever since the 1500s, when an unknown printer took a galley of type and scrambled it to make a type specimen book. It has survived not only five centuries, but also the leap into electronic typesetting, remaining essentially unchanged. It was popularised in the 1960s with the release of Letraset sheets containing Lorem Ipsum passages, and more recently with desktop publishing software like Aldus PageMaker including versions of Lorem Ipsum.Lorem Ipsum is simply dummy text of the printing and typesetting industry. Lorem Ipsum has been the industry’s standard dummy text ever since the 1500s, when an unknown printer took a galley of type and scrambled it to make a type specimen book. It has survived not only five centuries, but also the leap into electronic typesetting, remaining essentially unchanged. It was popularised in the 1960s with the release of Letraset sheets containing Lorem Ipsum passages, and more recently with desktop publishing software like Aldus PageMaker including versions of Lorem Ipsum.
HI THERE
Unhappy with your composite bonding results from a different dental clinic? If so, 𝐰𝐞 𝐜𝐚𝐧 𝐡𝐞𝐥𝐩 𝐡𝐞𝐫𝐞 𝐚𝐭 𝐃𝐞𝐧𝐭𝐚𝐥 𝐨𝐧 𝐭𝐡𝐞 𝐁𝐚𝐧𝐤𝐬 like we did for our lovely patient here! 😁
Our team work with you to ensure that you 𝐠𝐞𝐭 𝐭𝐡𝐞 𝐞𝐱𝐚𝐜𝐭 𝐬𝐡𝐚𝐩𝐞, 𝐬𝐢𝐳𝐞 𝐚𝐧𝐝 𝐞𝐯𝐞𝐧 𝐭𝐡𝐞 𝐬𝐡𝐚𝐝𝐞 𝐭𝐡𝐚𝐭 𝐲𝐨𝐮 𝐰𝐚𝐧𝐭 𝐟𝐨𝐫 𝐲𝐨𝐮𝐫 𝐭𝐞𝐞𝐭𝐡. It is important for us that our patients love what they see in the mirror following their smile makeover treatments 🦷️✨
So if you have had dental work in the past and are not happy with the results, send us a message here to 𝐛𝐨𝐨𝐤 𝐢𝐧 𝐟𝐨𝐫 𝐚 𝐜𝐨𝐧𝐬𝐮𝐥𝐭𝐚𝐭𝐢𝐨𝐧 𝐚𝐧𝐝 𝐬𝐞𝐞 𝐡𝐨𝐰 𝐨𝐮𝐫 𝐬𝐩𝐞𝐜𝐢𝐚𝐥𝐢𝐬𝐭 𝐭𝐞𝐚𝐦 𝐜𝐚𝐧 𝐡𝐞𝐥𝐩! 📲
Congratulations are in order for 𝐨𝐮𝐫 𝐥𝐨𝐯𝐞𝐥𝐲 𝐩𝐚𝐭𝐢𝐞𝐧𝐭 𝐌𝐢𝐜𝐚 @micalm92! Not only did she compete in the Winter Olympics earlier this year, she also got engaged recently too 😍
Mica is completing Invisalign here with our Invisalign Orthodontic Specialists 𝐭𝐨 𝐜𝐨𝐫𝐫𝐞𝐜𝐭 𝐡𝐞𝐫 𝐨𝐩𝐞𝐧 𝐛𝐢𝐭𝐞 and make all of her teeth perfectly straight and aligned 😁
We can`t wait to show you more of her smile journey too and of course what will be 𝐬𝐨𝐦𝐞 𝐚𝐦𝐚𝐳𝐢𝐧𝐠 𝐛𝐞𝐟𝐨𝐫𝐞 𝐚𝐧𝐝 𝐚𝐟𝐭𝐞𝐫 𝐩𝐢𝐜𝐭𝐮𝐫𝐞𝐬 when her case is completed 🦷️✨
As simple as two treatments is all it can take to 𝐭𝐫𝐚𝐧𝐬𝐟𝐨𝐫𝐦 𝐲𝐨𝐮𝐫 𝐭𝐞𝐞𝐭𝐡 𝐚𝐧𝐝 𝐬𝐦𝐢𝐥𝐞 - just like we completed here for our lovely patient 😁
𝐈𝐧𝐯𝐢𝐬𝐚𝐥𝐢𝐠𝐧 was first used to make the teeth straight and bring them into perfect alignment. Completed by our Invisalign Orthodontic Specialists, they can use the 𝐜𝐥𝐞𝐚𝐫 𝐚𝐧𝐝 𝐜𝐮𝐬𝐭𝐨𝐦-𝐦𝐚𝐝𝐞 𝐭𝐫𝐚𝐲𝐬 to also correct the likes of bite function and jaw alignment too.
𝐓𝐞𝐞𝐭𝐡 𝐰𝐡𝐢𝐭𝐞𝐧𝐢𝐧𝐠 was then completed to lift the teeth to a brighter, lighter and whiter shade. Using our professional home kits, we create custom-made teeth trays for our patients so 𝐭𝐡𝐞𝐲 𝐜𝐚𝐧 𝐚𝐥𝐬𝐨 𝐜𝐡𝐨𝐨𝐬𝐞 𝐭𝐨 𝐭𝐨𝐩-𝐮𝐩 𝐭𝐡𝐞𝐢𝐫 𝐫𝐞𝐬𝐮𝐥𝐭𝐬 in the future too 🦷️✨
When you get Invisalign with us, tooth contoruing (shaping), teeth whitening, fixed retainers, three sets of the premium Vivera removable retainers and aftercare is all included too. 𝐀𝐯𝐚𝐢𝐥𝐚𝐛𝐥𝐞 𝐟𝐫𝐨𝐦 £𝟕𝟎 𝐩𝐞𝐫 𝐦𝐨𝐧𝐭𝐡, message us to book a FREE online Invisalign consultation! 📲
The lovely Molly talks us through her DOTB Invisalign journey - 𝐡𝐞𝐫 𝐜𝐚𝐬𝐞 𝐭𝐨𝐨𝐤 𝐥𝐞𝐬𝐬 𝐭𝐡𝐚𝐧 𝐚 𝐲𝐞𝐚𝐫 for straight teeth! 🦷️✨
"It`s been really easy and quick, super efficient. Everyone at Dental on the Banks has been really helpful. 𝐈 𝐰𝐨𝐮𝐥𝐝 𝐝𝐞𝐟𝐢𝐧𝐢𝐭𝐞𝐥𝐲 𝐫𝐞𝐜𝐨𝐦𝐦𝐞𝐧𝐝 . . . super fun and really nice!" ☺️
We specialise in Invisalign for the younger patient (both children and teenagers), so you can 𝐠𝐢𝐯𝐞 𝐲𝐨𝐮𝐫 𝐜𝐡𝐢𝐥𝐝 𝐚 𝐡𝐞𝐚𝐝𝐬𝐭𝐚𝐫𝐭 𝐢𝐧 𝐡𝐚𝐯𝐢𝐧𝐠 𝐬𝐭𝐫𝐚𝐢𝐠𝐡𝐭 𝐭𝐞𝐞𝐭𝐡 𝐟𝐨𝐫 𝐥𝐢𝐟𝐞 - without having to wait years on NHS waitlists for uncomfortable metal braces.
Tap the link in our bio to 𝐬𝐭𝐚𝐫𝐭 𝐰𝐢𝐭𝐡 𝐚 𝐅𝐑𝐄𝐄 𝐨𝐧𝐥𝐢𝐧𝐞 𝐈𝐧𝐯𝐢𝐬𝐚𝐥𝐢𝐠𝐧 𝐜𝐨𝐧𝐬𝐮𝐥𝐭𝐚𝐭𝐢𝐨𝐧! 📲
Invisalign, teeth whitening and some custom-made dental crowns were 𝐚𝐥𝐥 𝐜𝐨𝐦𝐩𝐥𝐞𝐭𝐞𝐝 𝐛𝐲 𝐨𝐮𝐫 𝐭𝐞𝐚𝐦 𝐡𝐞𝐫𝐞 𝐚𝐭 𝐃𝐞𝐧𝐭𝐚𝐥 𝐨𝐧 𝐭𝐡𝐞 𝐁𝐚𝐧𝐤𝐬 for this smile transformation 🤩
As you can see our lovely patient has 𝐚 𝐫𝐞𝐬𝐭𝐨𝐫𝐞𝐝 𝐚𝐧𝐝 𝐫𝐞𝐟𝐫𝐞𝐬𝐡𝐞𝐝 𝐬𝐦𝐢𝐥𝐞 𝐚𝐞𝐬𝐭𝐡𝐞𝐭𝐢𝐜 𝐨𝐟 𝐬𝐭𝐫𝐚𝐢𝐠𝐡𝐭 𝐰𝐡𝐢𝐭𝐞 𝐭𝐞𝐞𝐭𝐡 with a completetly natural-looking appearance and feel 🦷✨
Not only can we offer all of the treatments that your teeth and smile may need, 𝐰𝐞 𝐚𝐥𝐬𝐨 𝐨𝐟𝐟𝐞𝐫 𝐟𝐥𝐞𝐱𝐢𝐛𝐥𝐞 𝐩𝐚𝐲𝐦𝐞𝐧𝐭 𝐩𝐥𝐚𝐧𝐬 if you would like to spread the cost too.
Send us a message to 𝐠𝐞𝐭 𝐬𝐭𝐚𝐫𝐭𝐞𝐝 𝐰𝐢𝐭𝐡 𝐚 𝐜𝐨𝐧𝐬𝐮𝐥𝐭𝐚𝐭𝐢𝐨𝐧! 📲
Dental on the Banks is the 𝐨𝐟𝐟𝐢𝐜𝐢𝐚𝐥 𝐝𝐞𝐧𝐭𝐢𝐬𝐭 𝐟𝐨𝐫 𝐭𝐡𝐞 𝐀𝐅𝐂 𝐁𝐨𝐮𝐫𝐧𝐞𝐦𝐨𝐮𝐭𝐡 𝐭𝐞𝐚𝐦 (for the last three years in a row) and it was our pleasure to have a lot of the team members here this week! 🍒
Swipe through ⬅️ to see our visits from 𝐄𝐯𝐚𝐧𝐢𝐥𝐬𝐨𝐧 𝐝𝐞 𝐋𝐢𝐦𝐚 𝐁𝐚𝐫𝐛𝐨𝐬𝐚, 𝐆𝐞𝐨𝐫𝐠𝐢𝐚 𝐖𝐢𝐥𝐬𝐨𝐧, 𝐌𝐚𝐫𝐜𝐮𝐬 𝐓𝐚𝐯𝐞𝐫𝐧𝐢𝐞𝐫 and 𝐌𝐚𝐫𝐜𝐨𝐬 𝐒𝐞𝐧𝐞𝐬𝐢 😁
We help the team 𝐛𝐨𝐭𝐡 𝐨𝐧 𝐚𝐧𝐝 𝐨𝐟𝐟 𝐭𝐡𝐞 𝐩𝐢𝐭𝐜𝐡 𝐚𝐥𝐥 𝐲𝐞𝐚𝐫 𝐫𝐨𝐮𝐧𝐝 𝐟𝐨𝐫 𝐚𝐥𝐥 𝐨𝐟 𝐭𝐡𝐞𝐢𝐫 𝐭𝐞𝐞𝐭𝐡 𝐚𝐧𝐝 𝐬𝐦𝐢𝐥𝐞 𝐧𝐞𝐞𝐝𝐬 including pre-season health checks screens too 🦷️✨
Unhappy with the shape and size of some of your teeth which is resulting in your smile looking unbalanced and asymmetrical? 𝐂𝐨𝐦𝐩𝐨𝐬𝐢𝐭𝐞 𝐛𝐨𝐧𝐝𝐢𝐧𝐠 𝐜𝐚𝐧 𝐡𝐞𝐥𝐩 💎
This is where the white composite material (which is also used in composite fillings) is 𝐚𝐩𝐩𝐥𝐢𝐞𝐝 𝐭𝐨 𝐭𝐡𝐞 𝐬𝐮𝐫𝐟𝐚𝐜𝐞 𝐨𝐟 𝐭𝐡𝐞 𝐭𝐞𝐞𝐭𝐡 - similar to it being painted on in layers.
With this technique there is no drilling of the teeth and no damage to them, along with no injections needed in your mouth either 𝐦𝐚𝐤𝐢𝐧𝐠 𝐭𝐡𝐢𝐬 𝐚 𝐜𝐨𝐦𝐟𝐨𝐫𝐭𝐚𝐛𝐥𝐞 𝐜𝐨𝐬𝐦𝐞𝐭𝐢𝐜 𝐝𝐞𝐧𝐭𝐚𝐥 𝐭𝐫𝐞𝐚𝐭𝐦𝐞𝐧𝐭 😁
You can choose to get just one tooth or multiple teeth treated, with composite bonding 𝐨𝐟𝐭𝐞𝐧 𝐜𝐨𝐦𝐩𝐥𝐞𝐭𝐞𝐝 𝐢𝐧 𝐣𝐮𝐬𝐭 𝐨𝐧𝐞 𝐚𝐩𝐩𝐨𝐢𝐧𝐭𝐦𝐞𝐧𝐭. Send us a message here to get started! 📲
Here Dr. Ramtin (one of our Invisalign Orthodontic Specialists along with his brother Dr. Damon) 𝐞𝐱𝐩𝐥𝐚𝐢𝐧𝐬 𝐭𝐡𝐞 𝐢𝐦𝐩𝐨𝐫𝐭𝐚𝐧𝐜𝐞 𝐨𝐟 𝐡𝐚𝐯𝐢𝐧𝐠 𝐟𝐢𝐱𝐞𝐝 𝐫𝐞𝐭𝐚𝐢𝐧𝐞𝐫𝐬 bonded in place out of sight behind your teeth after completing Invisalign 🦷️✨
Not every clinic can offer these to patients as 𝐭𝐡𝐞𝐲 𝐚𝐫𝐞 𝐚 𝐭𝐫𝐞𝐚𝐭𝐦𝐞𝐧𝐭 𝐬𝐞𝐧𝐬𝐢𝐭𝐢𝐯𝐞 𝐭𝐞𝐜𝐡𝐧𝐢𝐪𝐮𝐞, but we include them as complimentary when you get Invisalign here with us.
As the official number one provider of Invisalign in the entire south of England along with having two Invisalign Orthodontic Specialists who are officially ranked among the top 300 in the world; 𝐰𝐞 𝐜𝐚𝐧 𝐡𝐞𝐥𝐩 𝐰𝐢𝐭𝐡 𝐲𝐨𝐮𝐫 𝐭𝐞𝐞𝐭𝐡 𝐬𝐭𝐫𝐚𝐢𝐠𝐡𝐭𝐞𝐧𝐢𝐧𝐠 𝐧𝐞𝐞𝐝𝐬 𝐡𝐞𝐫𝐞 𝐚𝐭 𝐃𝐞𝐧𝐭𝐚𝐥 𝐨𝐧 𝐭𝐡𝐞 𝐁𝐚𝐧𝐤𝐬 😁
Here we have another great example of how 𝐨𝐮𝐫 𝐬𝐩𝐞𝐜𝐢𝐚𝐥𝐢𝐬𝐭 𝐭𝐞𝐚𝐦 𝐰𝐨𝐫𝐤 𝐭𝐨𝐠𝐞𝐭𝐡𝐞𝐫 𝐭𝐨 𝐜𝐫𝐞𝐚𝐭𝐞 𝐭𝐡𝐞 𝐬𝐦𝐢𝐥𝐞 𝐲𝐨𝐮 𝐰𝐚𝐧𝐭 here with us at Dental on the Banks 😁
We started with the Invisalign clear aligner treatment completed by our Invisalign Orthodontic Specialists. This is 𝐚 𝐜𝐨𝐦𝐟𝐨𝐫𝐭𝐚𝐛𝐥𝐞 𝐚𝐧𝐝 𝐝𝐢𝐬𝐜𝐫𝐞𝐞𝐭 𝐰𝐚𝐲 𝐭𝐨 𝐠𝐞𝐭 𝐚 𝐬𝐦𝐢𝐥𝐞 𝐨𝐟 𝐩𝐞𝐫𝐟𝐞𝐜𝐭𝐥𝐲 𝐬𝐭𝐫𝐚𝐢𝐠𝐡𝐭 𝐭𝐞𝐞𝐭𝐡 in just a matter of months 🦷️✨
This was followed by some tooth contouring (shaping), teeth whitening and fixed retainers were then bonded in place behind the teeth. All of these are 𝐢𝐧𝐜𝐥𝐮𝐝𝐞𝐝 𝐚𝐬 𝐜𝐨𝐦𝐩𝐥𝐢𝐦𝐞𝐧𝐭𝐚𝐫𝐲 𝐚𝐬 𝐩𝐚𝐫𝐭 𝐨𝐟 𝐨𝐮𝐫 𝐃𝐎𝐓𝐁 𝐈𝐧𝐯𝐢𝐬𝐚𝐥𝐢𝐠𝐧 𝐩𝐚𝐜𝐤𝐚𝐠𝐞 along with removable Vivera retainers and aftercare.
The final finishing touch was completed by our cosmetic dentist using the popular composite bonding treatment to 𝐭𝐰𝐞𝐚𝐤 𝐭𝐡𝐞 𝐭𝐞𝐞𝐭𝐡 𝐛𝐲 𝐩𝐞𝐫𝐟𝐞𝐜𝐭𝐢𝐧𝐠 𝐭𝐡𝐞𝐢𝐫 𝐬𝐡𝐚𝐩𝐞, 𝐬𝐢𝐳𝐞 𝐚𝐧𝐝 𝐬𝐲𝐦𝐦𝐞𝐭𝐫𝐲. We offer flexible payment plans for these treatments too - DM to book in and begin! 📲
Want a spring refresh for your teeth and smile? 𝐎𝐮𝐫 𝐩𝐫𝐨𝐟𝐞𝐬𝐬𝐢𝐨𝐧𝐚𝐥 𝐭𝐞𝐞𝐭𝐡 𝐰𝐡𝐢𝐭𝐞𝐧𝐢𝐧𝐠 𝐭𝐫𝐞𝐚𝐭𝐦𝐞𝐧𝐭 does exactly that - in as little as two weeks! 🦷️✨
Using our premium home kit, 𝐲𝐨𝐮 𝐚𝐫𝐞 𝐞𝐦𝐩𝐨𝐰𝐞𝐫𝐞𝐝 𝐭𝐨 𝐠𝐞𝐭 𝐛𝐫𝐢𝐠𝐡𝐭𝐞𝐫, 𝐥𝐢𝐠𝐡𝐭𝐞𝐫 𝐚𝐧𝐝 𝐰𝐡𝐢𝐭𝐞𝐫 𝐭𝐞𝐞𝐭𝐡 𝐥𝐢𝐤𝐞 𝐭𝐡𝐢𝐬 after just a couple of weeks of using the strong (prescription-only) whitening gels.
Not only is this 𝐬𝐚𝐟𝐞, 𝐫𝐞𝐥𝐢𝐚𝐛𝐥𝐞 𝐚𝐧𝐝 𝐠𝐮𝐚𝐫𝐚𝐧𝐭𝐞𝐞𝐝 𝐭𝐨 𝐰𝐨𝐫𝐤; but your results can also be noticed in photos, in videos and in person too 📸
Treat yourself to this form of self-care while also 𝐠𝐢𝐯𝐢𝐧𝐠 𝐲𝐨𝐮𝐫 𝐭𝐞𝐞𝐭𝐡 𝐚𝐧𝐝 𝐬𝐦𝐢𝐥𝐞 𝐚 𝐟𝐫𝐞𝐬𝐡𝐞𝐫 𝐚𝐧𝐝 𝐡𝐞𝐚𝐥𝐭𝐡𝐢𝐞𝐫 𝐥𝐨𝐨𝐤. Simply send us a message here to get started! 📲
We are a multi-disciplinary practice which means that 𝐨𝐮𝐫 𝐬𝐩𝐞𝐜𝐢𝐚𝐥𝐢𝐬𝐭 𝐭𝐞𝐚𝐦 𝐨𝐟𝐟𝐞𝐫 general, cosmetic, orthodontic, restorative and dental hygiene treatments too all here in clinic.
This means that we don`t have to refer you out to any other clinic for any of your teeth and smile needs; 𝐰𝐞 𝐜𝐚𝐧 𝐛𝐞 𝐲𝐨𝐮𝐫 𝐝𝐞𝐧𝐭𝐢𝐬𝐭 𝐟𝐨𝐫 𝐥𝐢𝐟𝐞 🦷️✨
I know this may sound silly but when I first started my business, a lot of self-criticism made it’s way into my world and I believed people didn’t want to work with me because of my smile, I used to be so nervous meeting a new client because of how ‘goofy’ my teeth were. That takes me back, ‘goofy’ was a reference I would answer to back in school days. I’d lived with this insecurity my whole life. If I knew the person I wanted to be, the business I wanted to run, I had to do one thing. GET MY TEETH DONE!”
I approached Dental On The Banks shortly after they opened and I was stunned. Not just at the beautiful appearance but how the price was really no different to the average dental practice in Bournemouth and Poole, yet at Dental On The Banks – you’re not waiting half an hour later than you’re appointment time and there aren’t any creeks when you walk to the waiting room.
The service at Dental On The Banks is, in its best description, having afternoon tea at Fortnum & Mason. Let me talk this through. At the bottom we have the most perfectly homemade scones, still warm. You walk into DOTB and you’re greeted with the warmest smiles and service – your coffee is served quite literally but DOTB go a step further than Fortnum & Mason in this case and print your gorgeous face on the coffee. I know, crazy!
Let’s move up a level, those perfectly cut sandwiches – have you ever seen anything like it? I have. Dental On The Banks are pure perfectionists at what they do, they finely tune every tiny detail of your treatment, probably even details you didn’t notice yourself. Now we have the cutest little cakes, ok so you may have to cut out cake on your treatment plan; just kidding. With Invisalign you can remove your tray, eat, clean your teeth and pop your tray back in, nothing is coming between you and those cakes! Lastly, the endless sandwiches your waiter / waitress continuously comes around with, unlimited – THAT is the aftercare you get at Dental On The Banks. You aren’t a number, you are a name, a name that they remember and a name that they want to be in contact with and truly care about. Your teeth are like diamonds to DOTB.
That’s why I will never go to another dentist again. I‘ve met my match and you cannot begin to understand how amazing I feel when I smile now. No fear or self-criticism holding me back, your wellbeing is much more than you possibly think and it deserves more attention and investment than you possibly give it. Do not let anything hold you back from smiling and being your best version. After lockdown, please locate me at Fortnum & Mason showing off my Dental On The Banks smile.”
Louise’s Story
Testimonial
From my first meeting with Dr Damon and Dr Junaid, I knew that I was in the very best hands to have my dental treatment and the smile that I had dreamed about for a long time. It did not disappoint! The first class service, attention to detail and professionalism at DOTB was outstanding, so much so that my daughter is also about to embark upon her dental journey with the superb team
Farah’s Story
Testimonial
After having composite bonding on my front teeth at a different dentist abroad, I really wasn’t impressed by the results. I was so glad to discover Dental on the Banks and their work! They were able to completely re-do my composite bonding to get my teeth looking exactly as I had wanted them to! I went in disappointed with the look of my teeth and after just one appointment I was leaving with a smile I couldn’t wait to show off! With such a beautiful clinic and amazing and friendly team of staff, I now want to go here for anything to do with my teeth going forward. Thank you!
Fantastic service from Dental on the Banks. In-depth first appointment with the dentist, and then my subsequent appointment for my small filling was great. As someone that is slightly nervous going for dental procedures, I felt at ease especially seeing as it was all done so fast!
I’ve never enjoyed going to the dentist… until Dental on the Banks!From the moment you walk in, the whole team makes you feel completely at ease. The reception staff are warm and welcoming, the hygienist is gentle and reassuring, and the dentist and nurses are incredibly professional, kind, and attentive.They genuinely make what’s usually a stressful experience feel calm, comfortable, and even pleasant. I couldn’t recommend them highly enough!
Dental on the banks have been absolutely amazing. I have just begun my invisalign journey. Also will having more treatment after i finish. All staff are professional, polite, kind and so welcoming. I felt relaxed as soon as I walked in. 100% would recommend to anyone.
Dental on the Banks have been absolutely amazing from start to finish. Nothing is too much trouble, and everything is always clearly explained. Staff are super helpful, friendly and really care about your journey.I wouldnt hesitate to recommend them. I now have lovely straight teeth, something I've always been conscious about.Thank you to all the team.
Staff were so friendly, patient and helpful.A very detailed and thorough appointment where every step was explained really well and we were given multiple chances to ask any questions we may have.Would definitely recommend and very excited to see the end results for my son’s straight teeth!
Had my Invisalign fitted today and the team are very friendly and make you feel at ease . The whole procedure has being very pleasant. I would 100% recommend dental on the banks. Thanks very much. Looking forward to seeing the final results. Long way to go though………..
Easy booking process, including a thorough pre-visit questionnaire.Beautiful practice put together in a very tasteful way.Warm welcome by reception staff, which was well received by my 28-month-old, who had never visited a Dentist before.Prompt appointment start time.Zohreh Yazdani-Khonakdar was extremely kind and gentle with my daughter and had a natural way of engaging with her.Informative and educational feedback given regarding the best oral care for my little girl.We shall see you again in 12 months' time - many thanks.Sienna & Sara
I chose dental on the banks Solely because of the reputation and reviews they came highly recommended by a very good client on mine who also lives in Sandbanks. I have chosen to have full implants. My teeth are crooked and I hated my smile. Dr George was great with his team. I would highly recommend this Dentist they contact me very frequently to make sure the healing process is going well and I feel like I have the support I need which I wouldn’t have had if I would’ve gone to Turkey so I would highly recommend them to one of the banks for your implants.
I had a gum graft procedure with Dr George, and as scary as that sounds, it was such a smooth process. Everything was well explained, I felt completely at ease, and honestly didn’t feel a thing due to the local anaesthetic. Looking forward to the next steps in my treatment with Invisalign
Cannot recommend Dental On the Banks highly enough! Everyone there is always so welcoming, professional and kind. Without doubt the best dental care I’ve ever received and we gladly travel further to get them since moving house. The extra distance is nothing when the care is so great. I had an awful experience with another dentist in Winton who missed the fact I needed a filling meaning I was left in pain for months and they became annoyed that I had to bring my son with me. Dental on the Banks sorted everything for me and is always so accommodating of my young children. I wouldn’t go anywhere else ever again.
Always a great service at DOTB. I have had wisdom tooth removal, whitening and hygienist services here. You feel really looked after and they take their time with you to make sure you are comfortable the whole time (the most gentle hygienist ever!). Whatever the issue is, I always feel like it will be resolved quickly and professionally at DOTB - thank you ! :)
Lovely premises, staff are friendly, and professional. The atmosphere in the practice is so relaxing, it is worth paying the little extra. I highly recommend Dental on the Banks.
My first appointment. Staff is friendly. Liberty, the treatment coordinator is very patient, listening to my long history and concerns, explaining the treatment plan clearly. She answered all my queries and put me at ease. And promptly emailed me the treatment plan, etc by the time I got home.
Each business needs to have 2 most important elements to be successful and survive, being Professional at what they do and Great customer service, So Dental on the Banks offers you Professionalism, great service and treats everyone with huge respect and makes you feel way more special. I am so lucky, grateful to know Dr Z.Yazdani and her amazing sons and family. They are gems. Highly recommend a million per cent 👌
Choosing Dental on the Banks for my invisiline journey was the best decision. The process was explained well in the first appointment. The ongoing treatment was completed in a smooth, efficient and professional capacity. All the staff are friendly and looked after me so well.I had zero problems throughout the treatment and I now have lovely straight white teeth! Worth every penny!Thank you Dental On The Banks 💗
I’m really happy I chose dental on the banks, they’ve been nothing but helpful and accommodating since I joined the Invisalign package with them. No ask is too much and they do their best to accommodate and fit to make my life easier. Super quick, super friendly, and shout out for how clean and amazing the clinic smells! Great friendly team, amazing choice for Invisalign too!!
Very happy with the dental hygienist service. Outstanding and I can smile again 😁Great to go there without long waiting time and booking 6 months in advance your appointment.Agnes was fantastic!
Excellent care & attention from Dr J, plenty of explanation & lots numbing medication made procedure painless! All the team are are excellent: the dental nurses, receptionists & fabulous hygienist which was also painless. Really recommend
Excellent dental service, everyone is very friendly and welcoming.I have been visiting DOTB since the beginning of the year and have undergone dental implant surgery. Now all complete and very successful. A big THANK YOU to George Bourne who carried out all his duties with such care and attention - the BEST!!!!
Brilliant service, George was very kind and knowledgeable and explained things well. Katie at the reception was also wonderful. Overall my experience was amazing and would recommend to anyone for any dental treatments.
Excellent service! They always make me feel at ease and explain everything so clearly. The whole team is friendly and welcoming, and I actually don’t dread going to the dentist anymore! Highly recommend.
I went to Dental on the Banks for my consultation for Invisalign and was greeted by friendly professional staff.I then had a xray etc and everything was greatly explained and felt at ease.The orthodontist was very professional and approachable and forged a plan which I am very excited to start.Highly recommend staff amazing and the equipment is state of the art.
The best dental surgery I’ve ever been to. Beautiful interior, doesn’t smell clinical, the staff are all fantastic and they go out of their way to provide the absolute best service!Always walk away feeling over the moon about any treatment I have.
My first appointment with Dental on the Banks. Rachel, Treatment co-ordinator was fantastic; informative, supportive, and caring. Reception staff were professional, kind, and made me feel welcome. I am looking forward to my dental journey with Dental on the Banks.My follow up with Jordan, Gum health professional, was a really positive, supportive, and informative experience. He was caring, listened and responded with thought for my health and what I wanted.
So today I had an impacted wisdom tooth removed under the care of Dr George & his lovely nurse…let’s just say I wouldn’t hesitate if I needed to have another one done. So gentle, did what they needed to do in a calm, controlled atmosphere, pain relief offered before the procedure with steroids to help reduce pain & inflammation, antibiotics provided if needed. A really good experience with something I was dreading. Highly recommend for all your dental needs! 🤩
Had the best first experience at Dental on the Banks. The staff are so lovely! Instantly make you feel relaxed, welcomed and in very good hands! The place doesn't feel in the slightest bit "clinical", it is really modern and tastefully decorated, feels very luxurious! I am completely confident in going forward with my treatment plan with Dental on the Banks, everything was explained to me in detail by the lovely Rachel, who completely put me at ease and answered all my questions. Every member of the team who dealt with me on my visit were fantastic and I would not hesitate to recommend!
It is always a great experience and amazing professionals at Dental on the Banks. My 5 years old daughters loves coming with me as she always says that" the place looks beautiful and it smells lovely". Thank you!
My daughter is only 11 years old, needs orthodontic treatment. The orthodontist is very professional, polite,understanding.This is a very high level of service. Overall we are very happy with the service.
An absolutely beautiful place. It's more like visiting a spa than a dentist but more importantly than the beautiful aesthetics was the service I received from the staff there. The lady who talked me through the whole process of Invisalign was an absolute delight, a consummate professional and very informative and patient with all my endless questions. Although the location is a bit out of the way for someone who relies on public transport I have no doubt in my mind that if I do decide to go ahead I will go nowhere else. A lof of businesses could learn a lot from this company about outstanding customer service because that is definitely what I received. I have confidence in this dental practice that I am in the hands of professional skilled dental staff and that my Invisalign journey with them will achieve amazing results that I will be very happy with. 5* service, 5* Practice. Fives across the board and would have no hesitation in recommending whatsoever. They also have an impressive amount of awards proudly on display which gives me even greater confidence. A very informative, detailed consultation with good demonstrations of how much difference Invisalign can have on the overall look of your teeth and face in general 😁
Dental on the Banks is a beautifully presented clinic with a brilliant team of dentists. Dr Yazdani is amazing…a true professional with a wealth of knowledge and expertise, she always puts you at ease and genuinely cares about her patients, thank you 🙏 I would 100% recommend!
My first appointment with Dental on the Banks. Rachel, Treatment co-ordinator was fantastic; informative, supportive, and caring. Reception staff were professional, kind, and made me feel welcome. I am looking forward to my dental journey with Dental on the Banks.
I visited Dental on the Banks today to start my Invisalign journey. The team were so lovely! Immediately greeted with warm smiles and friendly conversation, I experienced the same across all the team! Excited to be starting a great journey with them all.
My daughter is undergoing treatment with Invisalign braces, and in a short time we have already seen an incredible difference. We are very happy because now my daughter, who used to not smile, now smiles, because before she was embarrassed about her teeth, so it has not only helped her with a smile and beautiful teeth, but mainly psychologically it has helped my daughter a lot.And the dentists and staff are wonderful.The team is to be congratulated for the wonderful service you provide.🙏
Friendly and helpful receptionists. Although treatment for implants took over a year due to some complex problems, the results are good. Both the implants and the crowns are comfortable and match the rest of my teeth. Good painstaking work.I recommend this practice.
Dental On The BankI am thrilled to share my experience with my dental practice. They are fantastic and have truly helped me with my dental issues. After having many bad experiences with other dentists in the UK, I was relieved to find such a caring and professional team. From the reception, Liberty , Libby, ChloeI cannot thank Dr. John enough for his exceptional care. From the very first visit, he took the time to listen to my concerns and ensured that everything went according to plan. I am genuinely pleased with the results, and I highly recommend this practice to anyone in need of dental care.I will be having my Hygiene treatment with Grace and I am looking forward for it.Thanks for all the teamIhab Elsamannoudi