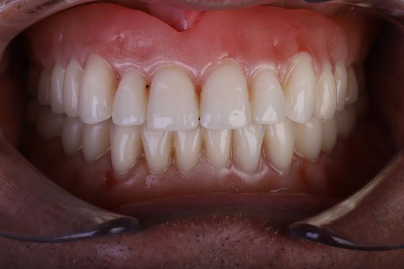
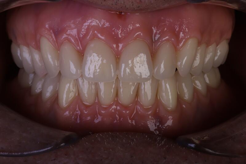
Dentures in Canford Cliffs, Poole








Unhappy with your composite bonding results from a different dental clinic? If so, 𝐰𝐞 𝐜𝐚𝐧 𝐡𝐞𝐥𝐩 𝐡𝐞𝐫𝐞 𝐚𝐭 𝐃𝐞𝐧𝐭𝐚𝐥 𝐨𝐧 𝐭𝐡𝐞 𝐁𝐚𝐧𝐤𝐬 like we did for our lovely patient here! 😁
Our team work with you to ensure that you 𝐠𝐞𝐭 𝐭𝐡𝐞 𝐞𝐱𝐚𝐜𝐭 𝐬𝐡𝐚𝐩𝐞, 𝐬𝐢𝐳𝐞 𝐚𝐧𝐝 𝐞𝐯𝐞𝐧 𝐭𝐡𝐞 𝐬𝐡𝐚𝐝𝐞 𝐭𝐡𝐚𝐭 𝐲𝐨𝐮 𝐰𝐚𝐧𝐭 𝐟𝐨𝐫 𝐲𝐨𝐮𝐫 𝐭𝐞𝐞𝐭𝐡. It is important for us that our patients love what they see in the mirror following their smile makeover treatments 🦷️✨
So if you have had dental work in the past and are not happy with the results, send us a message here to 𝐛𝐨𝐨𝐤 𝐢𝐧 𝐟𝐨𝐫 𝐚 𝐜𝐨𝐧𝐬𝐮𝐥𝐭𝐚𝐭𝐢𝐨𝐧 𝐚𝐧𝐝 𝐬𝐞𝐞 𝐡𝐨𝐰 𝐨𝐮𝐫 𝐬𝐩𝐞𝐜𝐢𝐚𝐥𝐢𝐬𝐭 𝐭𝐞𝐚𝐦 𝐜𝐚𝐧 𝐡𝐞𝐥𝐩! 📲
#beforeandafter #compositebonding #dorset
Congratulations are in order for 𝐨𝐮𝐫 𝐥𝐨𝐯𝐞𝐥𝐲 𝐩𝐚𝐭𝐢𝐞𝐧𝐭 𝐌𝐢𝐜𝐚 @micalm92! Not only did she compete in the Winter Olympics earlier this year, she also got engaged recently too 😍
Mica is completing Invisalign here with our Invisalign Orthodontic Specialists 𝐭𝐨 𝐜𝐨𝐫𝐫𝐞𝐜𝐭 𝐡𝐞𝐫 𝐨𝐩𝐞𝐧 𝐛𝐢𝐭𝐞 and make all of her teeth perfectly straight and aligned 😁
We can`t wait to show you more of her smile journey too and of course what will be 𝐬𝐨𝐦𝐞 𝐚𝐦𝐚𝐳𝐢𝐧𝐠 𝐛𝐞𝐟𝐨𝐫𝐞 𝐚𝐧𝐝 𝐚𝐟𝐭𝐞𝐫 𝐩𝐢𝐜𝐭𝐮𝐫𝐞𝐬 when her case is completed 🦷️✨
#micamoore #invisalign #bournemouth
As simple as two treatments is all it can take to 𝐭𝐫𝐚𝐧𝐬𝐟𝐨𝐫𝐦 𝐲𝐨𝐮𝐫 𝐭𝐞𝐞𝐭𝐡 𝐚𝐧𝐝 𝐬𝐦𝐢𝐥𝐞 - just like we completed here for our lovely patient 😁
𝐈𝐧𝐯𝐢𝐬𝐚𝐥𝐢𝐠𝐧 was first used to make the teeth straight and bring them into perfect alignment. Completed by our Invisalign Orthodontic Specialists, they can use the 𝐜𝐥𝐞𝐚𝐫 𝐚𝐧𝐝 𝐜𝐮𝐬𝐭𝐨𝐦-𝐦𝐚𝐝𝐞 𝐭𝐫𝐚𝐲𝐬 to also correct the likes of bite function and jaw alignment too.
𝐓𝐞𝐞𝐭𝐡 𝐰𝐡𝐢𝐭𝐞𝐧𝐢𝐧𝐠 was then completed to lift the teeth to a brighter, lighter and whiter shade. Using our professional home kits, we create custom-made teeth trays for our patients so 𝐭𝐡𝐞𝐲 𝐜𝐚𝐧 𝐚𝐥𝐬𝐨 𝐜𝐡𝐨𝐨𝐬𝐞 𝐭𝐨 𝐭𝐨𝐩-𝐮𝐩 𝐭𝐡𝐞𝐢𝐫 𝐫𝐞𝐬𝐮𝐥𝐭𝐬 in the future too 🦷️✨
When you get Invisalign with us, tooth contoruing (shaping), teeth whitening, fixed retainers, three sets of the premium Vivera removable retainers and aftercare is all included too. 𝐀𝐯𝐚𝐢𝐥𝐚𝐛𝐥𝐞 𝐟𝐫𝐨𝐦 £𝟕𝟎 𝐩𝐞𝐫 𝐦𝐨𝐧𝐭𝐡, message us to book a FREE online Invisalign consultation! 📲
#beforeandafter #invisalign #dentalonthebanks
The lovely Molly talks us through her DOTB Invisalign journey - 𝐡𝐞𝐫 𝐜𝐚𝐬𝐞 𝐭𝐨𝐨𝐤 𝐥𝐞𝐬𝐬 𝐭𝐡𝐚𝐧 𝐚 𝐲𝐞𝐚𝐫 for straight teeth! 🦷️✨
"It`s been really easy and quick, super efficient. Everyone at Dental on the Banks has been really helpful. 𝐈 𝐰𝐨𝐮𝐥𝐝 𝐝𝐞𝐟𝐢𝐧𝐢𝐭𝐞𝐥𝐲 𝐫𝐞𝐜𝐨𝐦𝐦𝐞𝐧𝐝 . . . super fun and really nice!" ☺️
We specialise in Invisalign for the younger patient (both children and teenagers), so you can 𝐠𝐢𝐯𝐞 𝐲𝐨𝐮𝐫 𝐜𝐡𝐢𝐥𝐝 𝐚 𝐡𝐞𝐚𝐝𝐬𝐭𝐚𝐫𝐭 𝐢𝐧 𝐡𝐚𝐯𝐢𝐧𝐠 𝐬𝐭𝐫𝐚𝐢𝐠𝐡𝐭 𝐭𝐞𝐞𝐭𝐡 𝐟𝐨𝐫 𝐥𝐢𝐟𝐞 - without having to wait years on NHS waitlists for uncomfortable metal braces.
Tap the link in our bio to 𝐬𝐭𝐚𝐫𝐭 𝐰𝐢𝐭𝐡 𝐚 𝐅𝐑𝐄𝐄 𝐨𝐧𝐥𝐢𝐧𝐞 𝐈𝐧𝐯𝐢𝐬𝐚𝐥𝐢𝐠𝐧 𝐜𝐨𝐧𝐬𝐮𝐥𝐭𝐚𝐭𝐢𝐨𝐧! 📲
#invisalign #testimonial #sandbanks
Invisalign, teeth whitening and some custom-made dental crowns were 𝐚𝐥𝐥 𝐜𝐨𝐦𝐩𝐥𝐞𝐭𝐞𝐝 𝐛𝐲 𝐨𝐮𝐫 𝐭𝐞𝐚𝐦 𝐡𝐞𝐫𝐞 𝐚𝐭 𝐃𝐞𝐧𝐭𝐚𝐥 𝐨𝐧 𝐭𝐡𝐞 𝐁𝐚𝐧𝐤𝐬 for this smile transformation 🤩
As you can see our lovely patient has 𝐚 𝐫𝐞𝐬𝐭𝐨𝐫𝐞𝐝 𝐚𝐧𝐝 𝐫𝐞𝐟𝐫𝐞𝐬𝐡𝐞𝐝 𝐬𝐦𝐢𝐥𝐞 𝐚𝐞𝐬𝐭𝐡𝐞𝐭𝐢𝐜 𝐨𝐟 𝐬𝐭𝐫𝐚𝐢𝐠𝐡𝐭 𝐰𝐡𝐢𝐭𝐞 𝐭𝐞𝐞𝐭𝐡 with a completetly natural-looking appearance and feel 🦷✨
Not only can we offer all of the treatments that your teeth and smile may need, 𝐰𝐞 𝐚𝐥𝐬𝐨 𝐨𝐟𝐟𝐞𝐫 𝐟𝐥𝐞𝐱𝐢𝐛𝐥𝐞 𝐩𝐚𝐲𝐦𝐞𝐧𝐭 𝐩𝐥𝐚𝐧𝐬 if you would like to spread the cost too.
Send us a message to 𝐠𝐞𝐭 𝐬𝐭𝐚𝐫𝐭𝐞𝐝 𝐰𝐢𝐭𝐡 𝐚 𝐜𝐨𝐧𝐬𝐮𝐥𝐭𝐚𝐭𝐢𝐨𝐧! 📲
#before #dentalcrowns #invisalign
Dental on the Banks is the 𝐨𝐟𝐟𝐢𝐜𝐢𝐚𝐥 𝐝𝐞𝐧𝐭𝐢𝐬𝐭 𝐟𝐨𝐫 𝐭𝐡𝐞 𝐀𝐅𝐂 𝐁𝐨𝐮𝐫𝐧𝐞𝐦𝐨𝐮𝐭𝐡 𝐭𝐞𝐚𝐦 (for the last three years in a row) and it was our pleasure to have a lot of the team members here this week! 🍒
Swipe through ⬅️ to see our visits from 𝐄𝐯𝐚𝐧𝐢𝐥𝐬𝐨𝐧 𝐝𝐞 𝐋𝐢𝐦𝐚 𝐁𝐚𝐫𝐛𝐨𝐬𝐚, 𝐆𝐞𝐨𝐫𝐠𝐢𝐚 𝐖𝐢𝐥𝐬𝐨𝐧, 𝐌𝐚𝐫𝐜𝐮𝐬 𝐓𝐚𝐯𝐞𝐫𝐧𝐢𝐞𝐫 and 𝐌𝐚𝐫𝐜𝐨𝐬 𝐒𝐞𝐧𝐞𝐬𝐢 😁
We help the team 𝐛𝐨𝐭𝐡 𝐨𝐧 𝐚𝐧𝐝 𝐨𝐟𝐟 𝐭𝐡𝐞 𝐩𝐢𝐭𝐜𝐡 𝐚𝐥𝐥 𝐲𝐞𝐚𝐫 𝐫𝐨𝐮𝐧𝐝 𝐟𝐨𝐫 𝐚𝐥𝐥 𝐨𝐟 𝐭𝐡𝐞𝐢𝐫 𝐭𝐞𝐞𝐭𝐡 𝐚𝐧𝐝 𝐬𝐦𝐢𝐥𝐞 𝐧𝐞𝐞𝐝𝐬 including pre-season health checks screens too 🦷️✨
#afcbournemouth #bournemouth #dentalonthebanks
Unhappy with the shape and size of some of your teeth which is resulting in your smile looking unbalanced and asymmetrical? 𝐂𝐨𝐦𝐩𝐨𝐬𝐢𝐭𝐞 𝐛𝐨𝐧𝐝𝐢𝐧𝐠 𝐜𝐚𝐧 𝐡𝐞𝐥𝐩 💎
This is where the white composite material (which is also used in composite fillings) is 𝐚𝐩𝐩𝐥𝐢𝐞𝐝 𝐭𝐨 𝐭𝐡𝐞 𝐬𝐮𝐫𝐟𝐚𝐜𝐞 𝐨𝐟 𝐭𝐡𝐞 𝐭𝐞𝐞𝐭𝐡 - similar to it being painted on in layers.
With this technique there is no drilling of the teeth and no damage to them, along with no injections needed in your mouth either 𝐦𝐚𝐤𝐢𝐧𝐠 𝐭𝐡𝐢𝐬 𝐚 𝐜𝐨𝐦𝐟𝐨𝐫𝐭𝐚𝐛𝐥𝐞 𝐜𝐨𝐬𝐦𝐞𝐭𝐢𝐜 𝐝𝐞𝐧𝐭𝐚𝐥 𝐭𝐫𝐞𝐚𝐭𝐦𝐞𝐧𝐭 😁
You can choose to get just one tooth or multiple teeth treated, with composite bonding 𝐨𝐟𝐭𝐞𝐧 𝐜𝐨𝐦𝐩𝐥𝐞𝐭𝐞𝐝 𝐢𝐧 𝐣𝐮𝐬𝐭 𝐨𝐧𝐞 𝐚𝐩𝐩𝐨𝐢𝐧𝐭𝐦𝐞𝐧𝐭. Send us a message here to get started! 📲
#beforeandafter #compositebonding #bournemouth
Here Dr. Ramtin (one of our Invisalign Orthodontic Specialists along with his brother Dr. Damon) 𝐞𝐱𝐩𝐥𝐚𝐢𝐧𝐬 𝐭𝐡𝐞 𝐢𝐦𝐩𝐨𝐫𝐭𝐚𝐧𝐜𝐞 𝐨𝐟 𝐡𝐚𝐯𝐢𝐧𝐠 𝐟𝐢𝐱𝐞𝐝 𝐫𝐞𝐭𝐚𝐢𝐧𝐞𝐫𝐬 bonded in place out of sight behind your teeth after completing Invisalign 🦷️✨
Not every clinic can offer these to patients as 𝐭𝐡𝐞𝐲 𝐚𝐫𝐞 𝐚 𝐭𝐫𝐞𝐚𝐭𝐦𝐞𝐧𝐭 𝐬𝐞𝐧𝐬𝐢𝐭𝐢𝐯𝐞 𝐭𝐞𝐜𝐡𝐧𝐢𝐪𝐮𝐞, but we include them as complimentary when you get Invisalign here with us.
As the official number one provider of Invisalign in the entire south of England along with having two Invisalign Orthodontic Specialists who are officially ranked among the top 300 in the world; 𝐰𝐞 𝐜𝐚𝐧 𝐡𝐞𝐥𝐩 𝐰𝐢𝐭𝐡 𝐲𝐨𝐮𝐫 𝐭𝐞𝐞𝐭𝐡 𝐬𝐭𝐫𝐚𝐢𝐠𝐡𝐭𝐞𝐧𝐢𝐧𝐠 𝐧𝐞𝐞𝐝𝐬 𝐡𝐞𝐫𝐞 𝐚𝐭 𝐃𝐞𝐧𝐭𝐚𝐥 𝐨𝐧 𝐭𝐡𝐞 𝐁𝐚𝐧𝐤𝐬 😁
#fixedretainers #invisalign #orthodontist
Here we have another great example of how 𝐨𝐮𝐫 𝐬𝐩𝐞𝐜𝐢𝐚𝐥𝐢𝐬𝐭 𝐭𝐞𝐚𝐦 𝐰𝐨𝐫𝐤 𝐭𝐨𝐠𝐞𝐭𝐡𝐞𝐫 𝐭𝐨 𝐜𝐫𝐞𝐚𝐭𝐞 𝐭𝐡𝐞 𝐬𝐦𝐢𝐥𝐞 𝐲𝐨𝐮 𝐰𝐚𝐧𝐭 here with us at Dental on the Banks 😁
We started with the Invisalign clear aligner treatment completed by our Invisalign Orthodontic Specialists. This is 𝐚 𝐜𝐨𝐦𝐟𝐨𝐫𝐭𝐚𝐛𝐥𝐞 𝐚𝐧𝐝 𝐝𝐢𝐬𝐜𝐫𝐞𝐞𝐭 𝐰𝐚𝐲 𝐭𝐨 𝐠𝐞𝐭 𝐚 𝐬𝐦𝐢𝐥𝐞 𝐨𝐟 𝐩𝐞𝐫𝐟𝐞𝐜𝐭𝐥𝐲 𝐬𝐭𝐫𝐚𝐢𝐠𝐡𝐭 𝐭𝐞𝐞𝐭𝐡 in just a matter of months 🦷️✨
This was followed by some tooth contouring (shaping), teeth whitening and fixed retainers were then bonded in place behind the teeth. All of these are 𝐢𝐧𝐜𝐥𝐮𝐝𝐞𝐝 𝐚𝐬 𝐜𝐨𝐦𝐩𝐥𝐢𝐦𝐞𝐧𝐭𝐚𝐫𝐲 𝐚𝐬 𝐩𝐚𝐫𝐭 𝐨𝐟 𝐨𝐮𝐫 𝐃𝐎𝐓𝐁 𝐈𝐧𝐯𝐢𝐬𝐚𝐥𝐢𝐠𝐧 𝐩𝐚𝐜𝐤𝐚𝐠𝐞 along with removable Vivera retainers and aftercare.
The final finishing touch was completed by our cosmetic dentist using the popular composite bonding treatment to 𝐭𝐰𝐞𝐚𝐤 𝐭𝐡𝐞 𝐭𝐞𝐞𝐭𝐡 𝐛𝐲 𝐩𝐞𝐫𝐟𝐞𝐜𝐭𝐢𝐧𝐠 𝐭𝐡𝐞𝐢𝐫 𝐬𝐡𝐚𝐩𝐞, 𝐬𝐢𝐳𝐞 𝐚𝐧𝐝 𝐬𝐲𝐦𝐦𝐞𝐭𝐫𝐲. We offer flexible payment plans for these treatments too - DM to book in and begin! 📲
#beforeandafter #compositebonding #invisalign
Want a spring refresh for your teeth and smile? 𝐎𝐮𝐫 𝐩𝐫𝐨𝐟𝐞𝐬𝐬𝐢𝐨𝐧𝐚𝐥 𝐭𝐞𝐞𝐭𝐡 𝐰𝐡𝐢𝐭𝐞𝐧𝐢𝐧𝐠 𝐭𝐫𝐞𝐚𝐭𝐦𝐞𝐧𝐭 does exactly that - in as little as two weeks! 🦷️✨
Using our premium home kit, 𝐲𝐨𝐮 𝐚𝐫𝐞 𝐞𝐦𝐩𝐨𝐰𝐞𝐫𝐞𝐝 𝐭𝐨 𝐠𝐞𝐭 𝐛𝐫𝐢𝐠𝐡𝐭𝐞𝐫, 𝐥𝐢𝐠𝐡𝐭𝐞𝐫 𝐚𝐧𝐝 𝐰𝐡𝐢𝐭𝐞𝐫 𝐭𝐞𝐞𝐭𝐡 𝐥𝐢𝐤𝐞 𝐭𝐡𝐢𝐬 after just a couple of weeks of using the strong (prescription-only) whitening gels.
Not only is this 𝐬𝐚𝐟𝐞, 𝐫𝐞𝐥𝐢𝐚𝐛𝐥𝐞 𝐚𝐧𝐝 𝐠𝐮𝐚𝐫𝐚𝐧𝐭𝐞𝐞𝐝 𝐭𝐨 𝐰𝐨𝐫𝐤; but your results can also be noticed in photos, in videos and in person too 📸
Treat yourself to this form of self-care while also 𝐠𝐢𝐯𝐢𝐧𝐠 𝐲𝐨𝐮𝐫 𝐭𝐞𝐞𝐭𝐡 𝐚𝐧𝐝 𝐬𝐦𝐢𝐥𝐞 𝐚 𝐟𝐫𝐞𝐬𝐡𝐞𝐫 𝐚𝐧𝐝 𝐡𝐞𝐚𝐥𝐭𝐡𝐢𝐞𝐫 𝐥𝐨𝐨𝐤. Simply send us a message here to get started! 📲
#beforeandafter #teethwhitening #dorset
All smiles all the time 𝐡𝐞𝐫𝐞 𝐚𝐭 𝐃𝐎𝐓𝐁! 😁
We are a multi-disciplinary practice which means that 𝐨𝐮𝐫 𝐬𝐩𝐞𝐜𝐢𝐚𝐥𝐢𝐬𝐭 𝐭𝐞𝐚𝐦 𝐨𝐟𝐟𝐞𝐫 general, cosmetic, orthodontic, restorative and dental hygiene treatments too all here in clinic.
This means that we don`t have to refer you out to any other clinic for any of your teeth and smile needs; 𝐰𝐞 𝐜𝐚𝐧 𝐛𝐞 𝐲𝐨𝐮𝐫 𝐝𝐞𝐧𝐭𝐢𝐬𝐭 𝐟𝐨𝐫 𝐥𝐢𝐟𝐞 🦷️✨
𝐀𝐜𝐜𝐞𝐩𝐭𝐢𝐧𝐠 𝐧𝐞𝐰 𝐩𝐚𝐭𝐢𝐞𝐧𝐭𝐬 - DM to get booked in! 📲
#dentist #selfie #bournemouth
I know this may sound silly but when I first started my business, a lot of self-criticism made it’s way into my world and I believed people didn’t want to work with me because of my smile, I used to be so nervous meeting a new client because of how ‘goofy’ my teeth were. That takes me back, ‘goofy’ was a reference I would answer to back in school days. I’d lived with this insecurity my whole life. If I knew the person I wanted to be, the business I wanted to run, I had to do one thing. GET MY TEETH DONE!”
I approached Dental On The Banks shortly after they opened and I was stunned. Not just at the beautiful appearance but how the price was really no different to the average dental practice in Bournemouth and Poole, yet at Dental On The Banks – you’re not waiting half an hour later than you’re appointment time and there aren’t any creeks when you walk to the waiting room.
The service at Dental On The Banks is, in its best description, having afternoon tea at Fortnum & Mason. Let me talk this through. At the bottom we have the most perfectly homemade scones, still warm. You walk into DOTB and you’re greeted with the warmest smiles and service – your coffee is served quite literally but DOTB go a step further than Fortnum & Mason in this case and print your gorgeous face on the coffee. I know, crazy!
Let’s move up a level, those perfectly cut sandwiches – have you ever seen anything like it? I have. Dental On The Banks are pure perfectionists at what they do, they finely tune every tiny detail of your treatment, probably even details you didn’t notice yourself. Now we have the cutest little cakes, ok so you may have to cut out cake on your treatment plan; just kidding. With Invisalign you can remove your tray, eat, clean your teeth and pop your tray back in, nothing is coming between you and those cakes! Lastly, the endless sandwiches your waiter / waitress continuously comes around with, unlimited – THAT is the aftercare you get at Dental On The Banks. You aren’t a number, you are a name, a name that they remember and a name that they want to be in contact with and truly care about. Your teeth are like diamonds to DOTB.
That’s why I will never go to another dentist again. I‘ve met my match and you cannot begin to understand how amazing I feel when I smile now. No fear or self-criticism holding me back, your wellbeing is much more than you possibly think and it deserves more attention and investment than you possibly give it. Do not let anything hold you back from smiling and being your best version. After lockdown, please locate me at Fortnum & Mason showing off my Dental On The Banks smile.”
From my first meeting with Dr Damon and Dr Junaid, I knew that I was in the very best hands to have my dental treatment and the smile that I had dreamed about for a long time. It did not disappoint! The first class service, attention to detail and professionalism at DOTB was outstanding, so much so that my daughter is also about to embark upon her dental journey with the superb team
After having composite bonding on my front teeth at a different dentist abroad, I really wasn’t impressed by the results. I was so glad to discover Dental on the Banks and their work! They were able to completely re-do my composite bonding to get my teeth looking exactly as I had wanted them to! I went in disappointed with the look of my teeth and after just one appointment I was leaving with a smile I couldn’t wait to show off! With such a beautiful clinic and amazing and friendly team of staff, I now want to go here for anything to do with my teeth going forward. Thank you!