Important update for our patients regarding Covid-19 (Coronavirus)
As of 25th March 2020 our clinic has temporary closed due to the Covid-19 Pandemic.
During normal working hours, someone from our upper management will always be available to speak to. (9am-7pm Mon-Friday)
Outside of working hours, kindly email us on contact@dentalonthebanks.co.uk or send us a text message/WhatsApp message on 07851183270. We will endeavour to reply to messages and emails 24 hours a day for all of our patients.
If you have an emergency please call for initial triage as we are only seeing emergency cases. Regretfully Walk ins can not be accommodated at this moment in time. No treatments will be carried out but we will be providing consultation, advice and guidance to support our patients.
The Government and the NHS are constantly updating the information on Covid-19 as the situation progresses. Please use the links below to keep up to date on the current guidelines.
We wish to thank all our patients for their understanding and co-operation at this time. Safe Safe.
At Dental on the Banks, we have a passion for perfection and this comes across all aspects of our work, no matter what treatment you decide to have with us.
Please select a treatment option below to explore a collection of transformation photos carried out by our specialist Team.
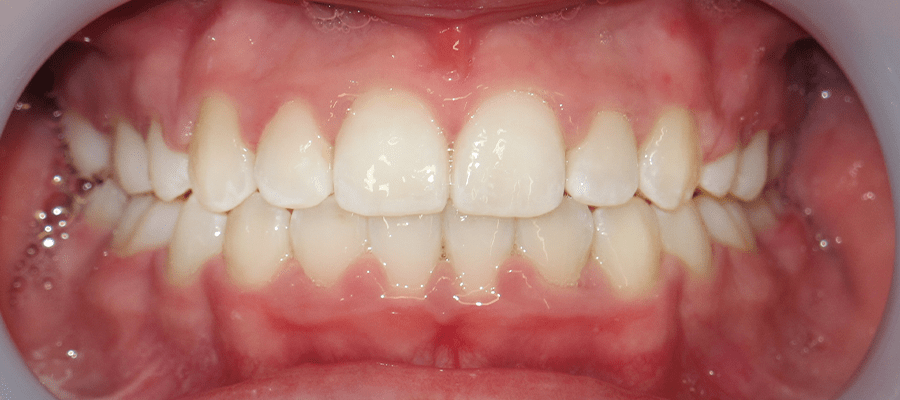
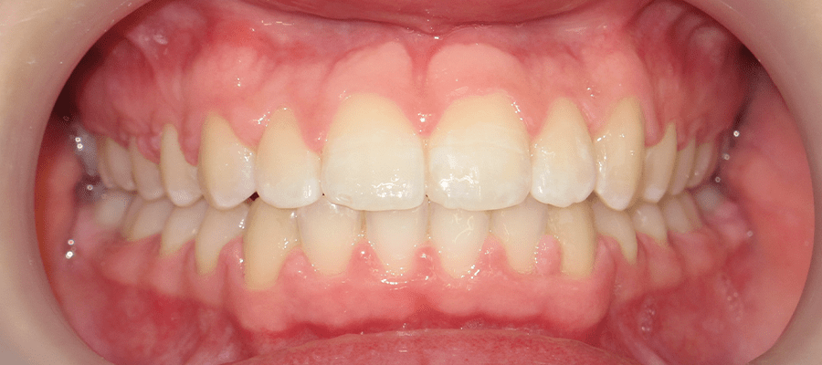
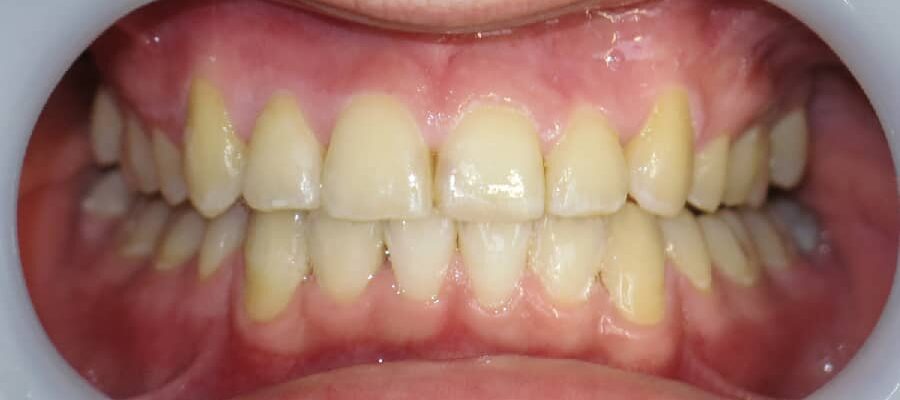
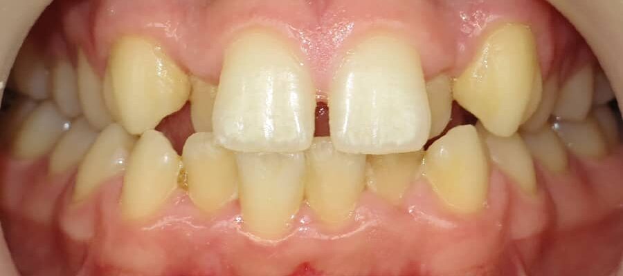
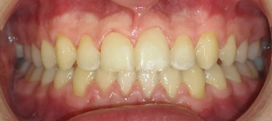
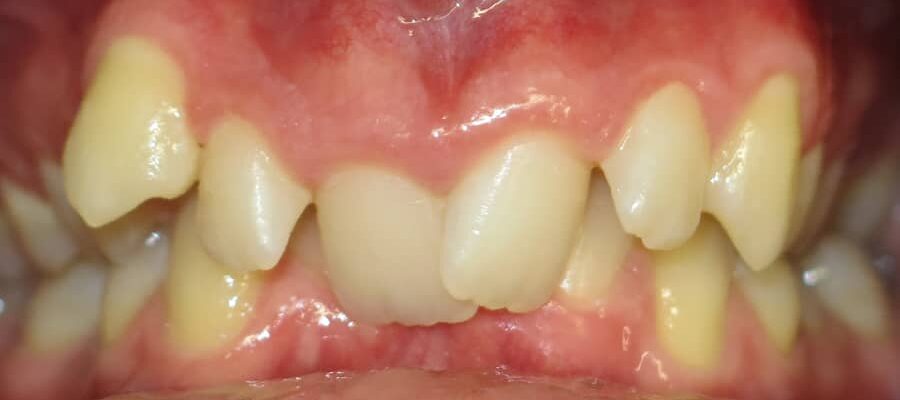
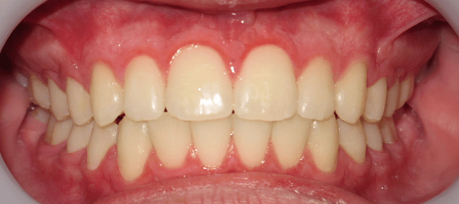
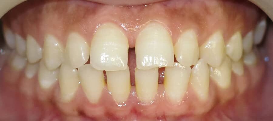
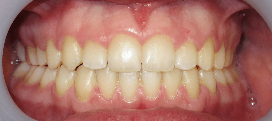
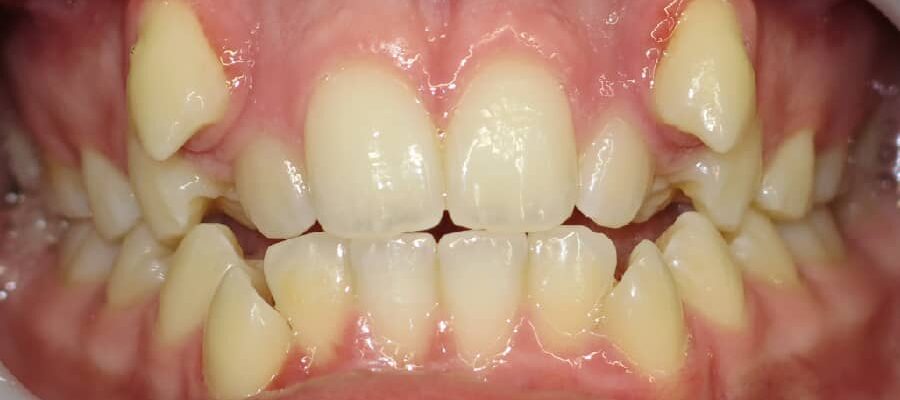
Sometimes the smallest changes make the biggest differences. This treatment took less than a year and the patient was extremely happy!
This patient disliked how the front teeth stuck out.
No teeth were taken out in the process of creating this perfect smile.
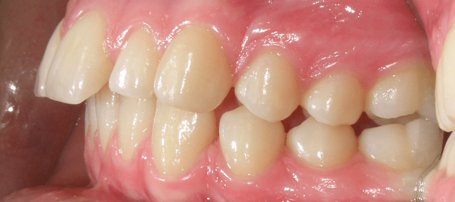
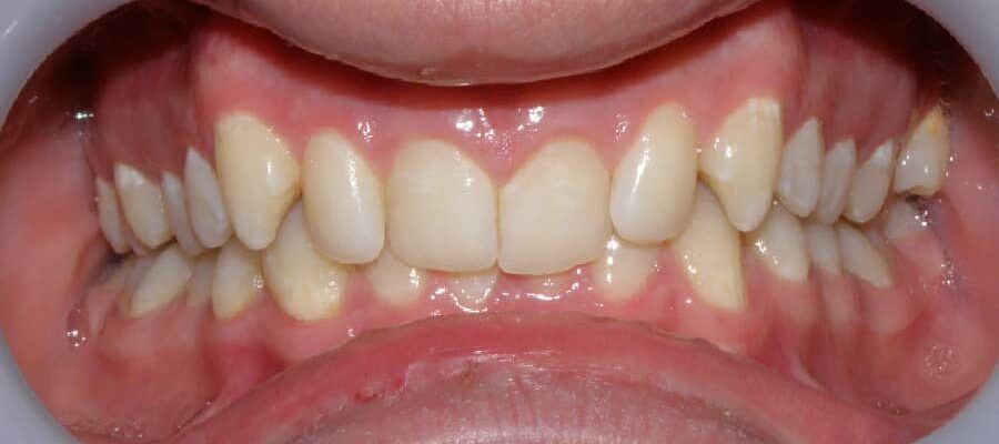
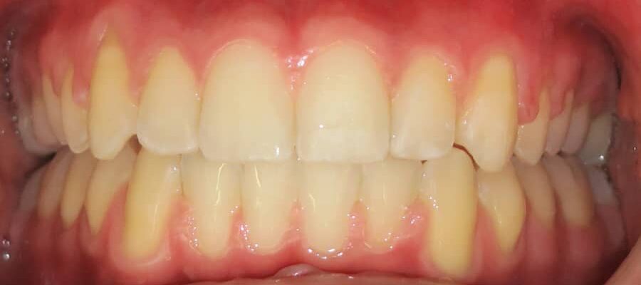
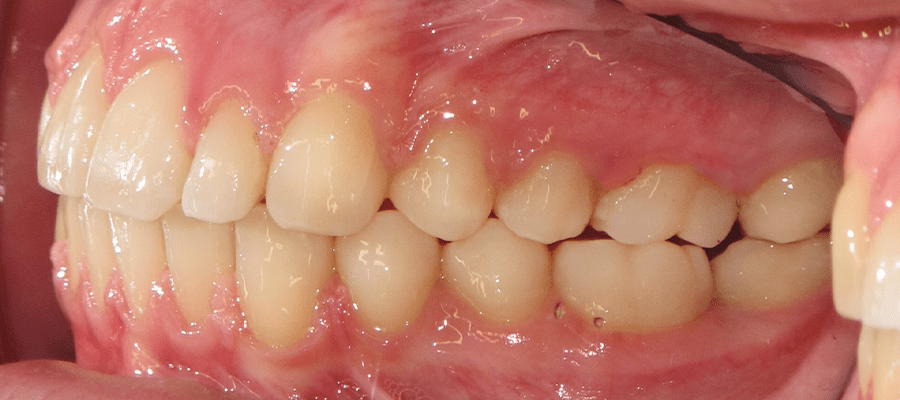
Do you have 𝐭𝐨𝐨𝐭𝐡 𝐝𝐚𝐦𝐚𝐠𝐞 from the likes of an accident, overall tooth `wear and tear` or even caused by genetic or lifestyle factors? 𝐖𝐞 𝐜𝐚𝐧 𝐡𝐞𝐥𝐩 𝐚𝐭 𝐃𝐎𝐓𝐁! 😁
For this case Dr. George completed crown lengthening / gum contouring and some careful application of composite bonding too. 𝐓𝐡𝐢𝐬 𝐰𝐨𝐫𝐤𝐞𝐝 𝐭𝐨 𝐛𝐨𝐭𝐡 𝐩𝐫𝐨𝐭𝐞𝐜𝐭 𝐚𝐧𝐝 𝐩𝐞𝐫𝐟𝐞𝐜𝐭 𝐭𝐡𝐞 𝐝𝐚𝐦𝐚𝐠𝐞𝐝 𝐭𝐨𝐨𝐭𝐡 𝐰𝐡𝐢𝐥𝐞 𝐚𝐥𝐬𝐨 𝐢𝐦𝐩𝐫𝐨𝐯𝐢𝐧𝐠 𝐭𝐡𝐞 𝐬𝐦𝐢𝐥𝐞 𝐚𝐞𝐬𝐭𝐡𝐞𝐭𝐢𝐜𝐬 - all while retaining a natural look 🦷️✨
Undetectable modern dentistry and the skills of our specialist team can give you results like this. Send us a message 𝐟𝐨𝐫 𝐚𝐧𝐲 𝐦𝐨𝐫𝐞 𝐢𝐧𝐟𝐨𝐫𝐦𝐚𝐭𝐢𝐨𝐧 𝐚𝐧𝐝 𝐭𝐨 𝐬𝐭𝐚𝐫𝐭 𝐰𝐢𝐭𝐡 𝐚 𝐜𝐨𝐧𝐬𝐮𝐥𝐭𝐚𝐭𝐢𝐨𝐧! 📲
The beating heart of what we do here at Dental on the Banks, not only do our team make sure you 𝐠𝐞𝐭 𝐭𝐡𝐞 𝐭𝐞𝐞𝐭𝐡 𝐚𝐧𝐝 𝐬𝐦𝐢𝐥𝐞 𝐭𝐡𝐚𝐭 𝐲𝐨𝐮 𝐰𝐚𝐧𝐭 - but also the seamless and relaxing dental experience and smile journey that you deserve too.
𝐀𝐜𝐜𝐞𝐩𝐭𝐢𝐧𝐠 𝐧𝐞𝐰 𝐩𝐚𝐭𝐢𝐞𝐧𝐭𝐬 - DM to book in and begin! 📲
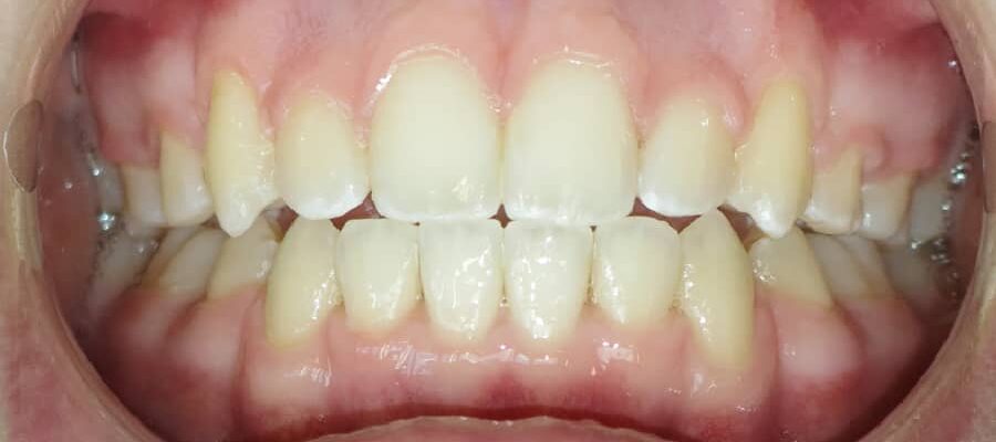
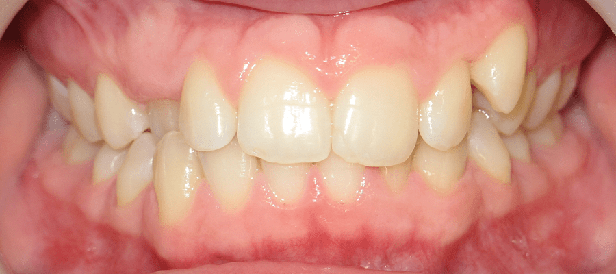
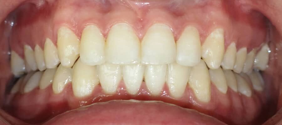
The lovely Bethan completed the DOTB Invisalign Package here with us for 𝐭𝐡𝐢𝐬 𝐬𝐭𝐮𝐧𝐧𝐢𝐧𝐠 𝐚𝐧𝐝 𝐧𝐚𝐭𝐮𝐫𝐚𝐥-𝐥𝐨𝐨𝐤𝐢𝐧𝐠 𝐬𝐦𝐢𝐥𝐞 𝐮𝐩𝐠𝐫𝐚𝐝𝐞 which was complete in only a matter of months 😁
𝐈𝐧𝐯𝐢𝐬𝐚𝐥𝐢𝐠𝐧 𝐰𝐢𝐭𝐡 𝐮𝐬 𝐢𝐧𝐜𝐥𝐮𝐝𝐞𝐬 all of your comfortable custom-made aligner trays, professional teeth whitening, tooth contouring / shaping, fixed retainers, three sets of the premium Vivera removable retainers and aftercare too 🦷️✨
Available from only £70 per month on our flexible payment plans, you can 𝐠𝐞𝐭 𝐬𝐭𝐚𝐫𝐭𝐞𝐝 𝐰𝐢𝐭𝐡 𝐚 𝐅𝐑𝐄𝐄 𝐨𝐧𝐥𝐢𝐧𝐞 𝐈𝐧𝐯𝐢𝐬𝐚𝐥𝐢𝐠𝐧 𝐜𝐨𝐧𝐬𝐮𝐥𝐭𝐚𝐭𝐢𝐨𝐧 𝐰𝐢𝐭𝐡 𝐨𝐮𝐫 𝐭𝐞𝐚𝐦. Just send us message here to begin! 📲
Some 𝐩𝐢𝐜𝐭𝐮𝐫𝐞 𝐩𝐞𝐫𝐟𝐞𝐜𝐭 𝐜𝐨𝐦𝐩𝐨𝐬𝐢𝐭𝐞 𝐛𝐨𝐧𝐝𝐢𝐧𝐠 with Dr. Jason 📸
𝐖𝐞 𝐜𝐚𝐧`𝐭 𝐰𝐚𝐢𝐭 𝐭𝐨 𝐬𝐡𝐨𝐰 𝐲𝐨𝐮 𝐭𝐡𝐞 𝐥𝐨𝐯𝐞𝐥𝐲 𝐊𝐞𝐥𝐜𝐢`𝐬 𝐬𝐦𝐢𝐥𝐞 𝐫𝐞𝐬𝐮𝐥𝐭𝐬 𝐬𝐨𝐨𝐧 after completing the popular composite bonding treatment here with us at Dental on the Banks 🦷️✨
Interested in composite bonding (also known as composite veneers) too? Send us a message for any more information and to 𝐛𝐨𝐨𝐤 𝐲𝐨𝐮𝐫 𝐜𝐨𝐧𝐬𝐮𝐥𝐭𝐚𝐭𝐢𝐨𝐧 - payment plans available! 📲
What is the 𝐢𝐦𝐩𝐨𝐫𝐭𝐚𝐧𝐜𝐞 𝐨𝐟 𝐟𝐢𝐱𝐞𝐝 𝐫𝐞𝐭𝐚𝐢𝐧𝐞𝐫𝐬? In our opinion these are vital to prevent any movement of your teeth following Invisalign teeth straightening treatment, 𝐞𝐧𝐬𝐮𝐫𝐢𝐧𝐠 𝐲𝐨𝐮 𝐡𝐚𝐯𝐞 𝐬𝐭𝐫𝐚𝐢𝐠𝐡𝐭 𝐭𝐞𝐞𝐭𝐡 𝐟𝐨𝐫 𝐥𝐢𝐟𝐞 💎
Fixed retainers (also known as bonded retainers) are a thin metal strip which are 𝐩𝐥𝐚𝐜𝐞𝐝 𝐨𝐮𝐭 𝐨𝐟 𝐬𝐢𝐠𝐡𝐭 𝐛𝐞𝐡𝐢𝐧𝐝 𝐭𝐡𝐞 𝐭𝐞𝐞𝐭𝐡 of both the upper and lower jaws. A treatment sensitive technique, not every clinic can offer these - but we include them as 𝐜𝐨𝐦𝐩𝐥𝐢𝐦𝐞𝐧𝐭𝐚𝐫𝐲 when you get Invisalign with us.
Along with these we also include three sets of the premium Vivera removable retainers for our patients too. These are clear trays (quite like Invisalign trays) which you wear overnight, while 𝐲𝐨𝐮𝐫 𝐟𝐢𝐱𝐞𝐝 𝐫𝐞𝐭𝐚𝐢𝐧𝐞𝐫𝐬 𝐬𝐭𝐚𝐲 𝐰𝐨𝐫𝐤𝐢𝐧𝐠 𝟐𝟒/𝟕 as these do not get removed 😁
As the 𝐨𝐟𝐟𝐢𝐜𝐢𝐚𝐥 𝐧𝐮𝐦𝐛𝐞𝐫 𝐨𝐧𝐞 𝐈𝐧𝐯𝐢𝐬𝐚𝐥𝐢𝐠𝐧 𝐩𝐫𝐨𝐯𝐢𝐝𝐞𝐫 𝐢𝐧 𝐭𝐡𝐞 𝐞𝐧𝐭𝐢𝐫𝐞 𝐬𝐨𝐮𝐭𝐡 𝐨𝐟 𝐄𝐧𝐠𝐥𝐚𝐧𝐝, we go the extra mile for all of our amazing patients here at DOTB - send us a DM to get started now! 📲
Dr. Zohreh pictured here with her lovely patient Bernadette 𝐚𝐟𝐭𝐞𝐫 𝐡𝐞𝐫 𝐜𝐡𝐞𝐜𝐤-𝐮𝐩 𝐚𝐩𝐩𝐨𝐢𝐧𝐭𝐦𝐞𝐧𝐭 at Dental on the Banks ☺️
While we are known for Invisalign (being the official number one provider in the entire south of England) and our smile makeovers; 𝐰𝐞 𝐚𝐥𝐬𝐨 𝐨𝐟𝐟𝐞𝐫 𝐠𝐞𝐧𝐞𝐫𝐚𝐥 𝐚𝐧𝐝 𝐫𝐞𝐬𝐭𝐨𝐫𝐚𝐭𝐢𝐯𝐞 𝐝𝐞𝐧𝐭𝐢𝐬𝐭𝐫𝐲 𝐭𝐨𝐨.
Thanks to the skills of our specialist team we don`t have to refer our patients out to other clinics either. 𝐖𝐞 𝐜𝐚𝐧 𝐛𝐞 𝐲𝐨𝐮𝐫 𝐝𝐞𝐧𝐭𝐢𝐬𝐭 𝐟𝐨𝐫 𝐥𝐢𝐟𝐞 - DM to get booked in! 📲
Both of our Invisalign Orthodontic Specialists (Dr. Ramtin and Dr. Damon) are 𝐨𝐟𝐟𝐢𝐜𝐢𝐚𝐥𝐥𝐲 𝐫𝐚𝐧𝐤𝐞𝐝 𝐛𝐲 𝐈𝐧𝐯𝐢𝐬𝐚𝐥𝐢𝐠𝐧 𝐚𝐬 𝐚𝐦𝐨𝐧𝐠 𝐭𝐡𝐞 𝐭𝐨𝐩 𝟑𝟎𝟎 𝐒𝐩𝐞𝐜𝐢𝐚𝐥𝐢𝐬𝐭𝐬 in the entire world.
Their education, experience and skills with the clear aligner system means that 𝐭𝐡𝐞𝐲 𝐜𝐚𝐧 𝐭𝐫𝐞𝐚𝐭 𝐛𝐨𝐭𝐡 𝐬𝐢𝐦𝐩𝐥𝐞 𝐚𝐧𝐝 𝐜𝐨𝐦𝐩𝐥𝐞𝐱 𝐜𝐚𝐬𝐞𝐬 here in our custom-built clinic 🦷️✨
Flexible payment plans are available and you can also 𝐠𝐞𝐭 𝐬𝐭𝐚𝐫𝐭𝐞𝐝 𝐰𝐢𝐭𝐡 𝐚 𝐅𝐑𝐄𝐄 𝐨𝐧𝐥𝐢𝐧𝐞 𝐈𝐧𝐯𝐢𝐬𝐚𝐥𝐢𝐠𝐧 𝐜𝐨𝐧𝐬𝐮𝐥𝐭𝐢𝐨𝐧 𝐰𝐢𝐭𝐡 𝐨𝐮𝐫 𝐭𝐞𝐚𝐦 - send us a message to begin! 📲
There is no appointment needed to come and visit reception and you can even 𝐭𝐚𝐤𝐞 𝐚 𝐬𝐞𝐥𝐟𝐢𝐞 𝐚𝐭 𝐨𝐮𝐫 𝐈𝐧𝐯𝐢𝐬𝐚𝐥𝐢𝐠𝐧 𝐙𝐨𝐧𝐞 𝐢𝐧 𝐫𝐞𝐜𝐞𝐩𝐭𝐢𝐨𝐧 to see how your smile could like after Invisalign at your visit too! 📸
Send us a message here or enquire with our reception team at the front desk to get booked in for a consultation to 𝐬𝐭𝐚𝐫𝐭 𝐲𝐨𝐮𝐫 𝐝𝐫𝐞𝐚𝐦 𝐬𝐦𝐢𝐥𝐞 𝐣𝐨𝐮𝐫𝐧𝐞𝐲 𝐡𝐞𝐫𝐞 𝐢𝐧 𝐨𝐮𝐫 𝐜𝐮𝐬𝐭𝐨𝐦-𝐛𝐮𝐢𝐥𝐭 𝐜𝐥𝐢𝐧𝐢𝐜 📲
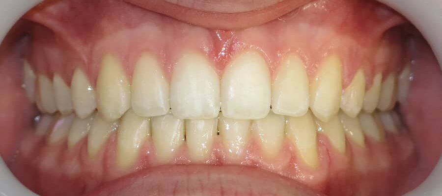
Professional teeth whitening gives you 𝐩𝐢𝐜𝐭𝐮𝐫𝐞 𝐩𝐞𝐫𝐟𝐞𝐜𝐭 𝐫𝐞𝐬𝐮𝐥𝐭𝐬 𝐭𝐡𝐚𝐭 𝐜𝐚𝐧 𝐛𝐞 𝐧𝐨𝐭𝐢𝐜𝐞𝐝 just like you can see here - completed for AFC Bournemouth player Remy Rees-Dottin 📸🍒
We have been 𝐜𝐡𝐨𝐬𝐞𝐧 𝐚𝐬 𝐚 𝐫𝐞𝐠𝐢𝐨𝐧𝐚𝐥 𝐜𝐞𝐧𝐭𝐫𝐞 𝐨𝐟 𝐞𝐱𝐜𝐞𝐥𝐥𝐞𝐧𝐜𝐞 𝐛𝐲 𝐄𝐧𝐥𝐢𝐠𝐡𝐭𝐞𝐧 𝐭𝐨 𝐨𝐟𝐟𝐞𝐫 𝐭𝐡𝐞𝐢𝐫 𝐩𝐫𝐞𝐦𝐢𝐮𝐦 𝐭𝐞𝐞𝐭𝐡 𝐰𝐡𝐢𝐭𝐞𝐧𝐢𝐧𝐠 𝐭𝐫𝐞𝐚𝐭𝐦𝐞𝐧𝐭𝐬 to our patients who can get guaranteed results like this.
𝐖𝐞 𝐚𝐫𝐞 𝐚𝐥𝐬𝐨 𝐭𝐡𝐞 𝐨𝐟𝐟𝐢𝐜𝐢𝐚𝐥 𝐝𝐞𝐧𝐭𝐢𝐬𝐭 𝐟𝐨𝐫 𝐭𝐡𝐞 𝐀𝐅𝐂 𝐁𝐨𝐮𝐫𝐧𝐞𝐦𝐨𝐮𝐭𝐡 𝐭𝐞𝐚𝐦 for the past three years a row too - helping the entire team with all of their teeth and smile needs 🦷️✨
All smiles from 𝐨𝐮𝐫 𝐝𝐞𝐧𝐭𝐚𝐥 𝐭𝐡𝐞𝐫𝐚𝐩𝐢𝐬𝐭 𝐚𝐧𝐝 𝐡𝐲𝐠𝐢𝐞𝐧𝐢𝐬𝐭 𝐆𝐫𝐚𝐜𝐞 𝐚𝐧𝐝 𝐡𝐞𝐫 𝐥𝐨𝐯𝐞𝐥𝐲 𝐩𝐚𝐭𝐢𝐞𝐧𝐭 𝐀𝐦𝐚𝐧𝐝𝐚 here for her dental hygiene treatment 🦷️
𝐖𝐞 𝐨𝐟𝐟𝐞𝐫 𝐠𝐞𝐧𝐭𝐥𝐞 𝐚𝐧𝐝 𝐞𝐟𝐟𝐞𝐜𝐭𝐢𝐯𝐞 𝐝𝐞𝐧𝐭𝐚𝐥 𝐡𝐲𝐠𝐢𝐞𝐧𝐞 𝐚𝐧𝐝 𝐭𝐞𝐞𝐭𝐡 𝐜𝐥𝐞𝐚𝐧𝐢𝐧𝐠 𝐭𝐫𝐞𝐚𝐭𝐦𝐞𝐧𝐭𝐬 here at Dental on the Banks and you can book in with our hygiensits directly even if you are not a current patient of Dental on the Banks.
When is the last time you had a professional teeth cleaning? 𝐒𝐞𝐧𝐝 𝐮𝐬 𝐚 𝐦𝐞𝐬𝐬𝐚𝐠𝐞 𝐡𝐞𝐫𝐞 if you would like any more information and to get booked in! 📲
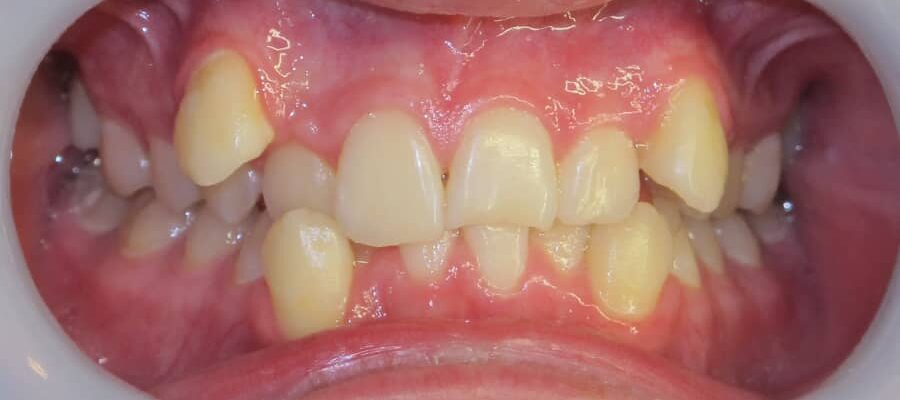
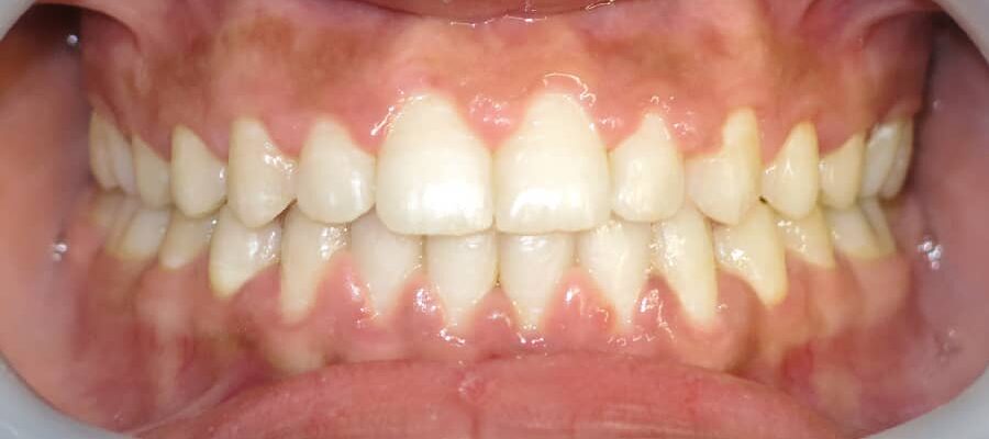
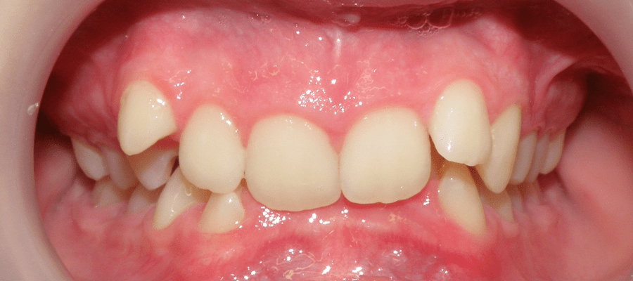
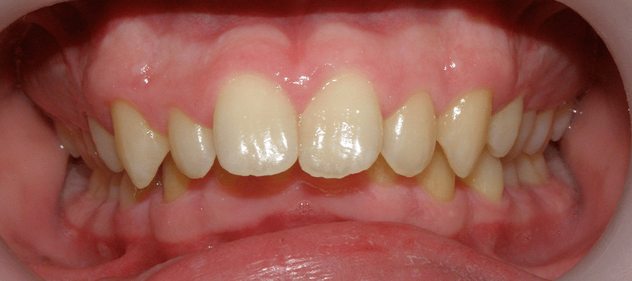
Unhappy with your composite bonding results from a different dental clinic? If so, 𝐰𝐞 𝐜𝐚𝐧 𝐡𝐞𝐥𝐩 𝐡𝐞𝐫𝐞 𝐚𝐭 𝐃𝐞𝐧𝐭𝐚𝐥 𝐨𝐧 𝐭𝐡𝐞 𝐁𝐚𝐧𝐤𝐬 like we did for our lovely patient here! 😁
Our team work with you to ensure that you 𝐠𝐞𝐭 𝐭𝐡𝐞 𝐞𝐱𝐚𝐜𝐭 𝐬𝐡𝐚𝐩𝐞, 𝐬𝐢𝐳𝐞 𝐚𝐧𝐝 𝐞𝐯𝐞𝐧 𝐭𝐡𝐞 𝐬𝐡𝐚𝐝𝐞 𝐭𝐡𝐚𝐭 𝐲𝐨𝐮 𝐰𝐚𝐧𝐭 𝐟𝐨𝐫 𝐲𝐨𝐮𝐫 𝐭𝐞𝐞𝐭𝐡. It is important for us that our patients love what they see in the mirror following their smile makeover treatments 🦷️✨
So if you have had dental work in the past and are not happy with the results, send us a message here to 𝐛𝐨𝐨𝐤 𝐢𝐧 𝐟𝐨𝐫 𝐚 𝐜𝐨𝐧𝐬𝐮𝐥𝐭𝐚𝐭𝐢𝐨𝐧 𝐚𝐧𝐝 𝐬𝐞𝐞 𝐡𝐨𝐰 𝐨𝐮𝐫 𝐬𝐩𝐞𝐜𝐢𝐚𝐥𝐢𝐬𝐭 𝐭𝐞𝐚𝐦 𝐜𝐚𝐧 𝐡𝐞𝐥𝐩! 📲
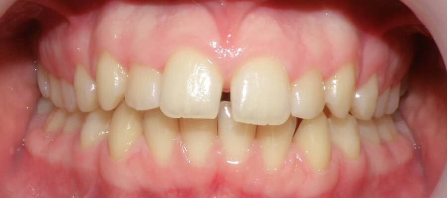
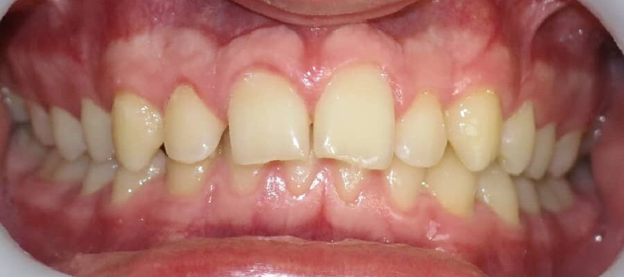
Congratulations are in order for 𝐨𝐮𝐫 𝐥𝐨𝐯𝐞𝐥𝐲 𝐩𝐚𝐭𝐢𝐞𝐧𝐭 𝐌𝐢𝐜𝐚 @micalm92! Not only did she compete in the Winter Olympics earlier this year, she also got engaged recently too 😍
Mica is completing Invisalign here with our Invisalign Orthodontic Specialists 𝐭𝐨 𝐜𝐨𝐫𝐫𝐞𝐜𝐭 𝐡𝐞𝐫 𝐨𝐩𝐞𝐧 𝐛𝐢𝐭𝐞 and make all of her teeth perfectly straight and aligned 😁
We can`t wait to show you more of her smile journey too and of course what will be 𝐬𝐨𝐦𝐞 𝐚𝐦𝐚𝐳𝐢𝐧𝐠 𝐛𝐞𝐟𝐨𝐫𝐞 𝐚𝐧𝐝 𝐚𝐟𝐭𝐞𝐫 𝐩𝐢𝐜𝐭𝐮𝐫𝐞𝐬 when her case is completed 🦷️✨
I know this may sound silly but when I first started my business, a lot of self-criticism made it’s way into my world and I believed people didn’t want to work with me because of my smile, I used to be so nervous meeting a new client because of how ‘goofy’ my teeth were. That takes me back, ‘goofy’ was a reference I would answer to back in school days. I’d lived with this insecurity my whole life. If I knew the person I wanted to be, the business I wanted to run, I had to do one thing. GET MY TEETH DONE!”
I approached Dental On The Banks shortly after they opened and I was stunned. Not just at the beautiful appearance but how the price was really no different to the average dental practice in Bournemouth and Poole, yet at Dental On The Banks – you’re not waiting half an hour later than you’re appointment time and there aren’t any creeks when you walk to the waiting room.
The service at Dental On The Banks is, in its best description, having afternoon tea at Fortnum & Mason. Let me talk this through. At the bottom we have the most perfectly homemade scones, still warm. You walk into DOTB and you’re greeted with the warmest smiles and service – your coffee is served quite literally but DOTB go a step further than Fortnum & Mason in this case and print your gorgeous face on the coffee. I know, crazy!
Let’s move up a level, those perfectly cut sandwiches – have you ever seen anything like it? I have. Dental On The Banks are pure perfectionists at what they do, they finely tune every tiny detail of your treatment, probably even details you didn’t notice yourself. Now we have the cutest little cakes, ok so you may have to cut out cake on your treatment plan; just kidding. With Invisalign you can remove your tray, eat, clean your teeth and pop your tray back in, nothing is coming between you and those cakes! Lastly, the endless sandwiches your waiter / waitress continuously comes around with, unlimited – THAT is the aftercare you get at Dental On The Banks. You aren’t a number, you are a name, a name that they remember and a name that they want to be in contact with and truly care about. Your teeth are like diamonds to DOTB.
That’s why I will never go to another dentist again. I‘ve met my match and you cannot begin to understand how amazing I feel when I smile now. No fear or self-criticism holding me back, your wellbeing is much more than you possibly think and it deserves more attention and investment than you possibly give it. Do not let anything hold you back from smiling and being your best version. After lockdown, please locate me at Fortnum & Mason showing off my Dental On The Banks smile.”
Louise’s Story
Testimonial
From my first meeting with Dr Damon and Dr Junaid, I knew that I was in the very best hands to have my dental treatment and the smile that I had dreamed about for a long time. It did not disappoint! The first class service, attention to detail and professionalism at DOTB was outstanding, so much so that my daughter is also about to embark upon her dental journey with the superb team
Farah’s Story
Testimonial
After having composite bonding on my front teeth at a different dentist abroad, I really wasn’t impressed by the results. I was so glad to discover Dental on the Banks and their work! They were able to completely re-do my composite bonding to get my teeth looking exactly as I had wanted them to! I went in disappointed with the look of my teeth and after just one appointment I was leaving with a smile I couldn’t wait to show off! With such a beautiful clinic and amazing and friendly team of staff, I now want to go here for anything to do with my teeth going forward. Thank you!
Fantastic service from Dental on the Banks. In-depth first appointment with the dentist, and then my subsequent appointment for my small filling was great. As someone that is slightly nervous going for dental procedures, I felt at ease especially seeing as it was all done so fast!
I’ve never enjoyed going to the dentist… until Dental on the Banks!From the moment you walk in, the whole team makes you feel completely at ease. The reception staff are warm and welcoming, the hygienist is gentle and reassuring, and the dentist and nurses are incredibly professional, kind, and attentive.They genuinely make what’s usually a stressful experience feel calm, comfortable, and even pleasant. I couldn’t recommend them highly enough!
Dental on the banks have been absolutely amazing. I have just begun my invisalign journey. Also will having more treatment after i finish. All staff are professional, polite, kind and so welcoming. I felt relaxed as soon as I walked in. 100% would recommend to anyone.
Dental on the Banks have been absolutely amazing from start to finish. Nothing is too much trouble, and everything is always clearly explained. Staff are super helpful, friendly and really care about your journey.I wouldnt hesitate to recommend them. I now have lovely straight teeth, something I've always been conscious about.Thank you to all the team.
Staff were so friendly, patient and helpful.A very detailed and thorough appointment where every step was explained really well and we were given multiple chances to ask any questions we may have.Would definitely recommend and very excited to see the end results for my son’s straight teeth!
Had my Invisalign fitted today and the team are very friendly and make you feel at ease . The whole procedure has being very pleasant. I would 100% recommend dental on the banks. Thanks very much. Looking forward to seeing the final results. Long way to go though………..
Easy booking process, including a thorough pre-visit questionnaire.Beautiful practice put together in a very tasteful way.Warm welcome by reception staff, which was well received by my 28-month-old, who had never visited a Dentist before.Prompt appointment start time.Zohreh Yazdani-Khonakdar was extremely kind and gentle with my daughter and had a natural way of engaging with her.Informative and educational feedback given regarding the best oral care for my little girl.We shall see you again in 12 months' time - many thanks.Sienna & Sara
I chose dental on the banks Solely because of the reputation and reviews they came highly recommended by a very good client on mine who also lives in Sandbanks. I have chosen to have full implants. My teeth are crooked and I hated my smile. Dr George was great with his team. I would highly recommend this Dentist they contact me very frequently to make sure the healing process is going well and I feel like I have the support I need which I wouldn’t have had if I would’ve gone to Turkey so I would highly recommend them to one of the banks for your implants.
I had a gum graft procedure with Dr George, and as scary as that sounds, it was such a smooth process. Everything was well explained, I felt completely at ease, and honestly didn’t feel a thing due to the local anaesthetic. Looking forward to the next steps in my treatment with Invisalign
Cannot recommend Dental On the Banks highly enough! Everyone there is always so welcoming, professional and kind. Without doubt the best dental care I’ve ever received and we gladly travel further to get them since moving house. The extra distance is nothing when the care is so great. I had an awful experience with another dentist in Winton who missed the fact I needed a filling meaning I was left in pain for months and they became annoyed that I had to bring my son with me. Dental on the Banks sorted everything for me and is always so accommodating of my young children. I wouldn’t go anywhere else ever again.
Always a great service at DOTB. I have had wisdom tooth removal, whitening and hygienist services here. You feel really looked after and they take their time with you to make sure you are comfortable the whole time (the most gentle hygienist ever!). Whatever the issue is, I always feel like it will be resolved quickly and professionally at DOTB - thank you ! :)
Lovely premises, staff are friendly, and professional. The atmosphere in the practice is so relaxing, it is worth paying the little extra. I highly recommend Dental on the Banks.
My first appointment. Staff is friendly. Liberty, the treatment coordinator is very patient, listening to my long history and concerns, explaining the treatment plan clearly. She answered all my queries and put me at ease. And promptly emailed me the treatment plan, etc by the time I got home.
Each business needs to have 2 most important elements to be successful and survive, being Professional at what they do and Great customer service, So Dental on the Banks offers you Professionalism, great service and treats everyone with huge respect and makes you feel way more special. I am so lucky, grateful to know Dr Z.Yazdani and her amazing sons and family. They are gems. Highly recommend a million per cent 👌
Choosing Dental on the Banks for my invisiline journey was the best decision. The process was explained well in the first appointment. The ongoing treatment was completed in a smooth, efficient and professional capacity. All the staff are friendly and looked after me so well.I had zero problems throughout the treatment and I now have lovely straight white teeth! Worth every penny!Thank you Dental On The Banks 💗
I’m really happy I chose dental on the banks, they’ve been nothing but helpful and accommodating since I joined the Invisalign package with them. No ask is too much and they do their best to accommodate and fit to make my life easier. Super quick, super friendly, and shout out for how clean and amazing the clinic smells! Great friendly team, amazing choice for Invisalign too!!
Very happy with the dental hygienist service. Outstanding and I can smile again 😁Great to go there without long waiting time and booking 6 months in advance your appointment.Agnes was fantastic!
Excellent care & attention from Dr J, plenty of explanation & lots numbing medication made procedure painless! All the team are are excellent: the dental nurses, receptionists & fabulous hygienist which was also painless. Really recommend
Excellent dental service, everyone is very friendly and welcoming.I have been visiting DOTB since the beginning of the year and have undergone dental implant surgery. Now all complete and very successful. A big THANK YOU to George Bourne who carried out all his duties with such care and attention - the BEST!!!!
Brilliant service, George was very kind and knowledgeable and explained things well. Katie at the reception was also wonderful. Overall my experience was amazing and would recommend to anyone for any dental treatments.
Excellent service! They always make me feel at ease and explain everything so clearly. The whole team is friendly and welcoming, and I actually don’t dread going to the dentist anymore! Highly recommend.
I went to Dental on the Banks for my consultation for Invisalign and was greeted by friendly professional staff.I then had a xray etc and everything was greatly explained and felt at ease.The orthodontist was very professional and approachable and forged a plan which I am very excited to start.Highly recommend staff amazing and the equipment is state of the art.
The best dental surgery I’ve ever been to. Beautiful interior, doesn’t smell clinical, the staff are all fantastic and they go out of their way to provide the absolute best service!Always walk away feeling over the moon about any treatment I have.
My first appointment with Dental on the Banks. Rachel, Treatment co-ordinator was fantastic; informative, supportive, and caring. Reception staff were professional, kind, and made me feel welcome. I am looking forward to my dental journey with Dental on the Banks.My follow up with Jordan, Gum health professional, was a really positive, supportive, and informative experience. He was caring, listened and responded with thought for my health and what I wanted.
So today I had an impacted wisdom tooth removed under the care of Dr George & his lovely nurse…let’s just say I wouldn’t hesitate if I needed to have another one done. So gentle, did what they needed to do in a calm, controlled atmosphere, pain relief offered before the procedure with steroids to help reduce pain & inflammation, antibiotics provided if needed. A really good experience with something I was dreading. Highly recommend for all your dental needs! 🤩
Had the best first experience at Dental on the Banks. The staff are so lovely! Instantly make you feel relaxed, welcomed and in very good hands! The place doesn't feel in the slightest bit "clinical", it is really modern and tastefully decorated, feels very luxurious! I am completely confident in going forward with my treatment plan with Dental on the Banks, everything was explained to me in detail by the lovely Rachel, who completely put me at ease and answered all my questions. Every member of the team who dealt with me on my visit were fantastic and I would not hesitate to recommend!
It is always a great experience and amazing professionals at Dental on the Banks. My 5 years old daughters loves coming with me as she always says that" the place looks beautiful and it smells lovely". Thank you!
My daughter is only 11 years old, needs orthodontic treatment. The orthodontist is very professional, polite,understanding.This is a very high level of service. Overall we are very happy with the service.
An absolutely beautiful place. It's more like visiting a spa than a dentist but more importantly than the beautiful aesthetics was the service I received from the staff there. The lady who talked me through the whole process of Invisalign was an absolute delight, a consummate professional and very informative and patient with all my endless questions. Although the location is a bit out of the way for someone who relies on public transport I have no doubt in my mind that if I do decide to go ahead I will go nowhere else. A lof of businesses could learn a lot from this company about outstanding customer service because that is definitely what I received. I have confidence in this dental practice that I am in the hands of professional skilled dental staff and that my Invisalign journey with them will achieve amazing results that I will be very happy with. 5* service, 5* Practice. Fives across the board and would have no hesitation in recommending whatsoever. They also have an impressive amount of awards proudly on display which gives me even greater confidence. A very informative, detailed consultation with good demonstrations of how much difference Invisalign can have on the overall look of your teeth and face in general 😁
Dental on the Banks is a beautifully presented clinic with a brilliant team of dentists. Dr Yazdani is amazing…a true professional with a wealth of knowledge and expertise, she always puts you at ease and genuinely cares about her patients, thank you 🙏 I would 100% recommend!
My first appointment with Dental on the Banks. Rachel, Treatment co-ordinator was fantastic; informative, supportive, and caring. Reception staff were professional, kind, and made me feel welcome. I am looking forward to my dental journey with Dental on the Banks.
I visited Dental on the Banks today to start my Invisalign journey. The team were so lovely! Immediately greeted with warm smiles and friendly conversation, I experienced the same across all the team! Excited to be starting a great journey with them all.
My daughter is undergoing treatment with Invisalign braces, and in a short time we have already seen an incredible difference. We are very happy because now my daughter, who used to not smile, now smiles, because before she was embarrassed about her teeth, so it has not only helped her with a smile and beautiful teeth, but mainly psychologically it has helped my daughter a lot.And the dentists and staff are wonderful.The team is to be congratulated for the wonderful service you provide.🙏
Friendly and helpful receptionists. Although treatment for implants took over a year due to some complex problems, the results are good. Both the implants and the crowns are comfortable and match the rest of my teeth. Good painstaking work.I recommend this practice.
Dental On The BankI am thrilled to share my experience with my dental practice. They are fantastic and have truly helped me with my dental issues. After having many bad experiences with other dentists in the UK, I was relieved to find such a caring and professional team. From the reception, Liberty , Libby, ChloeI cannot thank Dr. John enough for his exceptional care. From the very first visit, he took the time to listen to my concerns and ensured that everything went according to plan. I am genuinely pleased with the results, and I highly recommend this practice to anyone in need of dental care.I will be having my Hygiene treatment with Grace and I am looking forward for it.Thanks for all the teamIhab Elsamannoudi