Important update for our patients regarding Covid-19 (Coronavirus)
As of 25th March 2020 our clinic has temporary closed due to the Covid-19 Pandemic.
During normal working hours, someone from our upper management will always be available to speak to. (9am-7pm Mon-Friday)
Outside of working hours, kindly email us on contact@dentalonthebanks.co.uk or send us a text message/WhatsApp message on 07851183270. We will endeavour to reply to messages and emails 24 hours a day for all of our patients.
If you have an emergency please call for initial triage as we are only seeing emergency cases. Regretfully Walk ins can not be accommodated at this moment in time. No treatments will be carried out but we will be providing consultation, advice and guidance to support our patients.
The Government and the NHS are constantly updating the information on Covid-19 as the situation progresses. Please use the links below to keep up to date on the current guidelines.
We wish to thank all our patients for their understanding and co-operation at this time. Safe Safe.
At Dental on the Banks, we have a passion for perfection and this comes across all aspects of our work, no matter what treatment you decide to have with us.
Please select a treatment option below to explore a collection of transformation photos carried out by our specialist Team.
Take your teeth from twisted and off-white to 𝐩𝐞𝐫𝐟𝐞𝐜𝐭𝐥𝐲 𝐬𝐭𝐫𝐚𝐢𝐠𝐡𝐭 𝐚𝐧𝐝 𝐰𝐡𝐢𝐭𝐞 𝐰𝐢𝐭𝐡 𝐈𝐧𝐯𝐢𝐬𝐚𝐥𝐢𝐠𝐧 𝐚𝐭 𝐃𝐎𝐓𝐁 - the official number one Invisalign provider in the entire south of England 🥇
All our Invisalign patients actually receive what is known as 𝐭𝐡𝐞 𝐃𝐎𝐓𝐁 𝐈𝐧𝐯𝐢𝐬𝐚𝐥𝐢𝐠𝐧 𝐏𝐚𝐜𝐤𝐚𝐠𝐞 and this includes all of your custom-made aligner trays, tooth contouring (shaping), professional teeth whitening, fixed retainers, three sets of Vivera removable retainers and aftercare 🦷️✨
Treatment can take just a few short months to complete and we also offer flexible payment plans too. Message us to 𝐛𝐞𝐠𝐢𝐧 𝐰𝐢𝐭𝐡 𝐚 𝐅𝐑𝐄𝐄 𝐨𝐧𝐥𝐢𝐧𝐞 𝐜𝐨𝐧𝐬𝐮𝐥𝐭𝐚𝐭𝐢𝐨𝐧! 📲
Our pleasure to have 𝐭𝐡𝐞 𝐥𝐨𝐯𝐞𝐥𝐲 𝐍𝐢𝐜𝐤𝐲 𝐚𝐧𝐝 𝐍𝐨𝐚𝐡 here for their DOTB appointments 🦷️✨
As we offer general, cosmetic, restorative and dental hygiene treatments along with orthodontics (Invisalign) too, 𝐰𝐞 𝐜𝐚𝐧 𝐡𝐞𝐥𝐩 𝐰𝐢𝐭𝐡 𝐚𝐥𝐥 𝐨𝐟 𝐲𝐨𝐮𝐫 𝐭𝐞𝐞𝐭𝐡 𝐚𝐧𝐝 𝐬𝐦𝐢𝐥𝐞 𝐧𝐞𝐞𝐝𝐬 here in clinic.
Thanks to our in-house team of specialists we don`t have to refer you out to other dental clinics either, 𝐦𝐞𝐚𝐧𝐢𝐧𝐠 𝐰𝐞 𝐜𝐚𝐧 𝐛𝐞 𝐲𝐨𝐮𝐫 𝐝𝐞𝐧𝐭𝐢𝐬𝐭 𝐟𝐨𝐫 𝐥𝐢𝐟𝐞 😁
More perfect smile results with 𝐈𝐧𝐯𝐢𝐬𝐚𝐥𝐢𝐠𝐧 𝐚𝐭 𝐃𝐎𝐓𝐁 🤩
The clear aligner trays are 𝐜𝐮𝐬𝐭𝐨𝐦-𝐦𝐚𝐝𝐞 𝐟𝐨𝐫 𝐞𝐚𝐜𝐡 𝐚𝐧𝐝 𝐞𝐯𝐞𝐫𝐲 𝐩𝐚𝐭𝐢𝐞𝐧𝐭 and they work to guide your teeth into a perfectly straight position in just a matter of months 😁
Not only do they straighten your teeth and bring them into the correct alignement, 𝐨𝐮𝐫 𝐈𝐧𝐯𝐢𝐬𝐚𝐥𝐢𝐠𝐧 𝐎𝐫𝐭𝐡𝐨𝐝𝐨𝐧𝐭𝐢𝐜 𝐒𝐩𝐞𝐜𝐢𝐚𝐥𝐢𝐬𝐭𝐬 𝐦𝐚𝐤𝐞 𝐞𝐱𝐩𝐞𝐫𝐭 𝐮𝐬𝐞 𝐨𝐟 𝐭𝐡𝐞𝐦 𝐭𝐨 𝐠𝐢𝐯𝐞 𝐲𝐨𝐮 𝐚 𝐟𝐮𝐥𝐥𝐞𝐫 𝐚𝐧𝐝 𝐰𝐢𝐝𝐞𝐫 𝐬𝐦𝐢𝐥𝐞 too with less black space (known as a buccal corridor) showing at the mouth corners.
𝐅𝐥𝐞𝐱𝐢𝐛𝐥𝐞 𝐩𝐚𝐲𝐦𝐞𝐧𝐭 𝐩𝐥𝐚𝐧𝐬 𝐚𝐯𝐚𝐢𝐥𝐚𝐛𝐥𝐞, DM to book in and begin! 📲
When the treatment room is ready, the equipment is sterilised and ready, 𝐨𝐮𝐫 𝐭𝐞𝐚𝐦 𝐚𝐫𝐞 𝐫𝐞𝐚𝐝𝐲 𝐟𝐨𝐫 𝐭𝐡𝐞 𝐧𝐞𝐱𝐭 𝐚𝐩𝐩𝐨𝐢𝐧𝐭𝐦𝐞𝐧𝐭 𝐛𝐮𝐭 𝐭𝐡𝐞 𝐩𝐚𝐭𝐢𝐞𝐧𝐭 𝐢𝐬 𝐫𝐮𝐧𝐧𝐢𝐧𝐠 𝐥𝐚𝐭𝐞 . . . it makes sense to make a Reel 😁
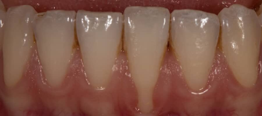
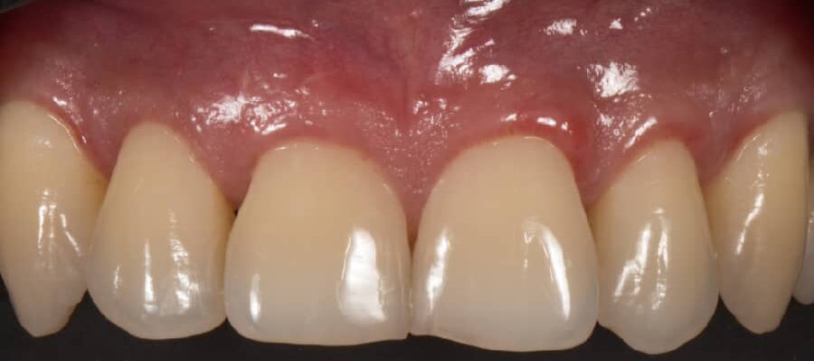
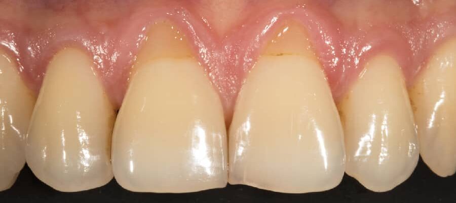
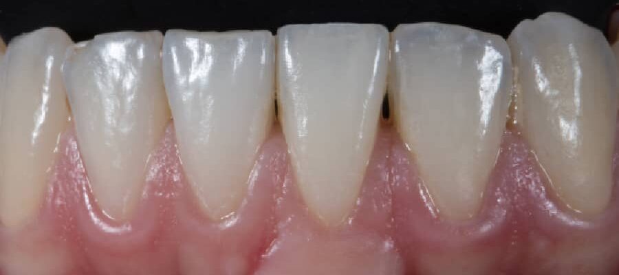
The lovely Vick`s smile transformation shows what is possible when you 𝐜𝐡𝐨𝐨𝐬𝐞 𝐈𝐧𝐯𝐢𝐬𝐚𝐥𝐢𝐠𝐧 𝐚𝐭 𝐃𝐎𝐓𝐁 - we are the official number one provider in the entire south of England!
Our two Invisalign Orthodontic Specialists worked to perfectly straighten the teeth on both the upper and lower jaws. This was then followed by some tooth contouring (shaping), teeth whitening and bonded and removable retainers - 𝐚𝐥𝐥 𝐢𝐧𝐜𝐥𝐮𝐝𝐞𝐝 𝐚𝐬 𝐜𝐨𝐦𝐩𝐥𝐢𝐦𝐞𝐧𝐭𝐚𝐫𝐲 🦷️✨
You can get all of the above (including aftercare) when you 𝐜𝐡𝐨𝐨𝐬𝐞 𝐨𝐮𝐫 𝐃𝐎𝐓𝐁 𝐈𝐧𝐯𝐢𝐬𝐚𝐥𝐢𝐠𝐧 𝐏𝐚𝐜𝐤𝐚𝐠𝐞. Available from only £70 per month - message us to get started! 📲
The smile of 𝐩𝐞𝐫𝐟𝐞𝐜𝐭𝐥𝐲 𝐬𝐭𝐫𝐚𝐢𝐠𝐡𝐭 𝐰𝐡𝐢𝐭𝐞 𝐭𝐞𝐞𝐭𝐡 𝐭𝐡𝐚𝐭 𝐲𝐨𝐮`𝐯𝐞 𝐚𝐥𝐰𝐚𝐲𝐬 𝐰𝐚𝐧𝐭𝐞𝐝 can be yours when you choose us here at Dental on the Banks! 🤩
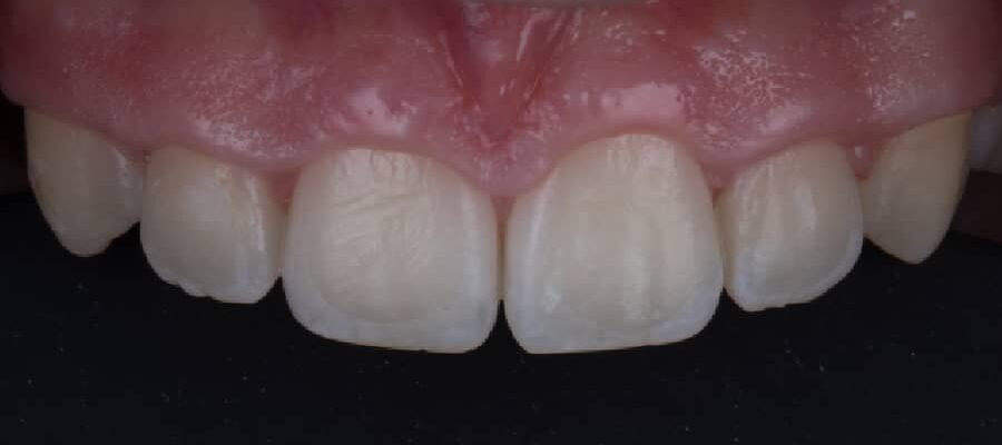
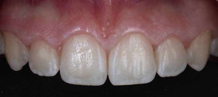
For our lovely patient here our specialist team completed 𝐈𝐧𝐯𝐢𝐬𝐚𝐥𝐢𝐠𝐧 to bring the teeth into perfectly straight alignment, 𝐭𝐞𝐞𝐭𝐡 𝐰𝐡𝐢𝐭𝐞𝐧𝐢𝐧𝐠 to lift them to a brighter and whiter shade and 𝐜𝐨𝐦𝐩𝐨𝐬𝐢𝐭𝐞 𝐛𝐨𝐧𝐝𝐢𝐧𝐠 to perfect the shape, size and symmetry of the teeth too 😁
As you can see, we offer all the treatments you need to get the teeth and smile you want. 𝐅𝐥𝐞𝐱𝐢𝐛𝐥𝐞 𝐩𝐚𝐲𝐦𝐞𝐧𝐭 𝐩𝐥𝐚𝐧𝐬 𝐚𝐯𝐚𝐢𝐥𝐚𝐛𝐥𝐞, send us a message to get booked in to begin! 📲
Our lovely patient Kaye talks us through 𝐡𝐞𝐫 𝐃𝐎𝐓𝐁 𝐭𝐞𝐞𝐭𝐡 𝐰𝐡𝐢𝐭𝐞𝐧𝐢𝐧𝐠 𝐞𝐱𝐩𝐞𝐫𝐢𝐞𝐧𝐜𝐞 - both her and her husband have now completed this popular treatment here with us! 🦷️✨
𝐏𝐫𝐨𝐟𝐞𝐬𝐬𝐢𝐨𝐧𝐚𝐥 𝐭𝐞𝐞𝐭𝐡 𝐰𝐡𝐢𝐭𝐞𝐧𝐢𝐧𝐠 𝐭𝐚𝐤𝐞𝐬 𝐣𝐮𝐬𝐭 𝐭𝐰𝐨 𝐭𝐨 𝐭𝐡𝐫𝐞𝐞 𝐰𝐞𝐞𝐤𝐬 𝐭𝐨 𝐜𝐨𝐦𝐩𝐥𝐞𝐭𝐞 and your home kit also includes a desensitivity serum and swabs to help keep the process comfortable.
Treat yourself to a smile of brighter, lighter and whiter teeth; 𝐚𝐟𝐭𝐞𝐫 𝐚𝐥𝐥, 𝐝𝐞𝐧𝐭𝐚𝐥 𝐜𝐚𝐫𝐞 𝐢𝐬 𝐚 𝐟𝐨𝐫𝐦 𝐨𝐟 𝐬𝐞𝐥𝐟-𝐜𝐚𝐫𝐞 𝐭𝐨𝐨. Simply send us a message here to get started! 📲
𝐈𝐧𝐯𝐢𝐬𝐚𝐥𝐢𝐠𝐧 𝐎𝐫𝐭𝐡𝐨𝐝𝐨𝐧𝐭𝐢𝐜 𝐒𝐩𝐞𝐜𝐢𝐚𝐥𝐢𝐬𝐭𝐬 💎 Your case is planned and completed by two Invisalign Orthodontic Specialists. Both Dr. Ramtin and Dr. Damon are officially among the top 300 Invisalign Specialists in the world!
𝐃𝐎𝐓𝐁 𝐈𝐧𝐯𝐢𝐬𝐚𝐥𝐢𝐠𝐧 𝐏𝐚𝐜𝐤𝐚𝐠𝐞 🦷️✨ Invisalign with us includes all of your clear custom-made trays along with complimentary teeth whitening, tooth contouring, fixed retainers and removable Vivera retainers too.
𝐎𝐟𝐟𝐢𝐜𝐢𝐚𝐥 𝐍𝐮𝐦𝐛𝐞𝐫 𝐎𝐧𝐞 𝐏𝐫𝐨𝐯𝐢𝐝𝐞𝐫 🥇 We are the official number one provider of Invisalign in Bournemouth, Dorset, Poole, Sandbanks - in fact in the entire south of England as ranked by Invisalign themselves.
Available from only £70 per month on our flexible payment plans, send us a message here or follow the link in our bio to 𝐬𝐭𝐚𝐫𝐭 𝐰𝐢𝐭𝐡 𝐚 𝐅𝐑𝐄𝐄 𝐨𝐧𝐥𝐢𝐧𝐞 𝐜𝐨𝐧𝐬𝐮𝐥𝐭𝐚𝐭𝐢𝐨𝐧! 🔗
Our pleasure to have AFC Bournemouth coach Sam Matthews 𝐬𝐭𝐚𝐫𝐭 𝐡𝐢𝐬 𝐈𝐧𝐯𝐢𝐬𝐚𝐥𝐢𝐠𝐧 𝐣𝐨𝐮𝐫𝐧𝐞𝐲 𝐡𝐞𝐫𝐞 𝐰𝐢𝐭𝐡 𝐮𝐬 at Dental on the Banks 🍒️⚽️
In a matter of months he will have perfectly straight teeth thanks to the experience and skills of Dr. Ramtin and Dr. Damon - our two Invisalign Orthodontic Specialists 𝐰𝐡𝐨 𝐚𝐫𝐞 𝐨𝐟𝐟𝐢𝐜𝐢𝐚𝐥𝐥𝐲 𝐫𝐚𝐧𝐤𝐞𝐝 𝐚𝐦𝐨𝐧𝐠 𝐭𝐡𝐞 𝐭𝐨𝐩 𝟑𝟎𝟎 𝐢𝐧 𝐭𝐡𝐞 𝐰𝐨𝐫𝐥𝐝 𝐛𝐲 𝐈𝐧𝐯𝐢𝐬𝐚𝐥𝐢𝐠𝐧 𝐭𝐡𝐞𝐦𝐬𝐞𝐥𝐯𝐞𝐬 🌍
Dental on the Banks is 𝐭𝐡𝐞 𝐨𝐟𝐟𝐢𝐜𝐢𝐚𝐥 𝐝𝐞𝐧𝐭𝐢𝐬𝐭 𝐟𝐨𝐫 𝐀𝐅𝐂 𝐁𝐨𝐮𝐫𝐧𝐞𝐦𝐨𝐮𝐭𝐡 - helping the team (both on and off the pitch) with all of their teeth and smile needs all year! 📲
We love how our work gives our lovely patients 𝐭𝐡𝐞 𝐜𝐨𝐧𝐟𝐢𝐝𝐞𝐧𝐜𝐞 𝐭𝐨 𝐬𝐦𝐢𝐥𝐞 𝐟𝐮𝐥𝐥𝐲 𝐚𝐧𝐝 𝐰𝐢𝐝𝐞𝐥𝐲 following their DOTB treatments as we work to perfect their teeth and smile aesthetic 💎
You can see here how 𝐨𝐮𝐫 𝐃𝐎𝐓𝐁 𝐈𝐧𝐯𝐢𝐬𝐚𝐥𝐢𝐠𝐧 𝐏𝐚𝐜𝐤𝐚𝐠𝐞 𝐚𝐜𝐡𝐢𝐞𝐯𝐞𝐝 𝐞𝐱𝐚𝐜𝐭𝐥𝐲 𝐭𝐡𝐢𝐬 - with the clear Invisalign aligners, teeth whitening and tooth contouring (shaping) working to transform the smile.
Fixed retainers (bonded in place behind the teeth) and removable retainers are also includes so that 𝐨𝐮𝐫 𝐩𝐚𝐭𝐢𝐞𝐧𝐭𝐬 𝐠𝐞𝐭 𝐬𝐭𝐫𝐚𝐢𝐠𝐡𝐭 𝐭𝐞𝐞𝐭𝐡 𝐟𝐨𝐫 𝐥𝐢𝐟𝐞. Send us a message to book in and begin! 📲
All smiles from 𝐭𝐡𝐞 𝐥𝐨𝐯𝐞𝐥𝐲 𝐋𝐚𝐮𝐫𝐚 𝐡𝐞𝐫𝐞 𝐟𝐨𝐫 𝐡𝐞𝐫 𝐜𝐡𝐞𝐜𝐤-𝐮𝐩 𝐚𝐩𝐩𝐨𝐢𝐧𝐭𝐦𝐞𝐧𝐭 with Dr. Zohreh ☺️
While we may be known for our cosmetic dentistry, smile makeovers and for being 𝐭𝐡𝐞 𝐨𝐟𝐟𝐢𝐜𝐢𝐚𝐥 𝐧𝐮𝐦𝐛𝐞𝐫 𝐨𝐧𝐞 𝐩𝐫𝐨𝐯𝐢𝐝𝐞𝐫 𝐨𝐟 𝐈𝐧𝐯𝐢𝐬𝐚𝐥𝐢𝐠𝐧 𝐢𝐧 𝐭𝐡𝐞 𝐞𝐧𝐭𝐢𝐫𝐞 𝐬𝐨𝐮𝐭𝐡 𝐨𝐟 𝐄𝐧𝐠𝐥𝐚𝐧𝐝; we can help with all of your dental needs here at DOTB - without having to refer you to any other clinics 🦷️✨
General dentistry, restorative dentistry, cosmetic dentistry, dental hygiene treatments, orthodontics (teeth straightening), facial aesthetics treatments and more are all available 𝐡𝐞𝐫𝐞 𝐚𝐭 𝐨𝐮𝐫 𝐜𝐮𝐬𝐭𝐨𝐦-𝐛𝐮𝐢𝐥𝐭 𝐜𝐥𝐢𝐧𝐢𝐜 𝐨𝐧 𝐭𝐡𝐞 𝐂𝐚𝐧𝐟𝐨𝐫𝐝 𝐂𝐥𝐢𝐟𝐟𝐬 𝐡𝐢𝐠𝐡 𝐬𝐭𝐫𝐞𝐞𝐭!📍
I know this may sound silly but when I first started my business, a lot of self-criticism made it’s way into my world and I believed people didn’t want to work with me because of my smile, I used to be so nervous meeting a new client because of how ‘goofy’ my teeth were. That takes me back, ‘goofy’ was a reference I would answer to back in school days. I’d lived with this insecurity my whole life. If I knew the person I wanted to be, the business I wanted to run, I had to do one thing. GET MY TEETH DONE!”
I approached Dental On The Banks shortly after they opened and I was stunned. Not just at the beautiful appearance but how the price was really no different to the average dental practice in Bournemouth and Poole, yet at Dental On The Banks – you’re not waiting half an hour later than you’re appointment time and there aren’t any creeks when you walk to the waiting room.
The service at Dental On The Banks is, in its best description, having afternoon tea at Fortnum & Mason. Let me talk this through. At the bottom we have the most perfectly homemade scones, still warm. You walk into DOTB and you’re greeted with the warmest smiles and service – your coffee is served quite literally but DOTB go a step further than Fortnum & Mason in this case and print your gorgeous face on the coffee. I know, crazy!
Let’s move up a level, those perfectly cut sandwiches – have you ever seen anything like it? I have. Dental On The Banks are pure perfectionists at what they do, they finely tune every tiny detail of your treatment, probably even details you didn’t notice yourself. Now we have the cutest little cakes, ok so you may have to cut out cake on your treatment plan; just kidding. With Invisalign you can remove your tray, eat, clean your teeth and pop your tray back in, nothing is coming between you and those cakes! Lastly, the endless sandwiches your waiter / waitress continuously comes around with, unlimited – THAT is the aftercare you get at Dental On The Banks. You aren’t a number, you are a name, a name that they remember and a name that they want to be in contact with and truly care about. Your teeth are like diamonds to DOTB.
That’s why I will never go to another dentist again. I‘ve met my match and you cannot begin to understand how amazing I feel when I smile now. No fear or self-criticism holding me back, your wellbeing is much more than you possibly think and it deserves more attention and investment than you possibly give it. Do not let anything hold you back from smiling and being your best version. After lockdown, please locate me at Fortnum & Mason showing off my Dental On The Banks smile.”
Louise’s Story
Testimonial
From my first meeting with Dr Damon and Dr Junaid, I knew that I was in the very best hands to have my dental treatment and the smile that I had dreamed about for a long time. It did not disappoint! The first class service, attention to detail and professionalism at DOTB was outstanding, so much so that my daughter is also about to embark upon her dental journey with the superb team
Farah’s Story
Testimonial
After having composite bonding on my front teeth at a different dentist abroad, I really wasn’t impressed by the results. I was so glad to discover Dental on the Banks and their work! They were able to completely re-do my composite bonding to get my teeth looking exactly as I had wanted them to! I went in disappointed with the look of my teeth and after just one appointment I was leaving with a smile I couldn’t wait to show off! With such a beautiful clinic and amazing and friendly team of staff, I now want to go here for anything to do with my teeth going forward. Thank you!
Staff were so friendly, patient and helpful.A very detailed and thorough appointment where every step was explained really well and we were given multiple chances to ask any questions we may have.Would definitely recommend and very excited to see the end results for my son’s straight teeth!
Had my Invisalign fitted today and the team are very friendly and make you feel at ease . The whole procedure has being very pleasant. I would 100% recommend dental on the banks. Thanks very much. Looking forward to seeing the final results. Long way to go though………..
Easy booking process, including a thorough pre-visit questionnaire.Beautiful practice put together in a very tasteful way.Warm welcome by reception staff, which was well received by my 28-month-old, who had never visited a Dentist before.Prompt appointment start time.Zohreh Yazdani-Khonakdar was extremely kind and gentle with my daughter and had a natural way of engaging with her.Informative and educational feedback given regarding the best oral care for my little girl.We shall see you again in 12 months' time - many thanks.Sienna & Sara
I chose dental on the banks Solely because of the reputation and reviews they came highly recommended by a very good client on mine who also lives in Sandbanks. I have chosen to have full implants. My teeth are crooked and I hated my smile. Dr George was great with his team. I would highly recommend this Dentist they contact me very frequently to make sure the healing process is going well and I feel like I have the support I need which I wouldn’t have had if I would’ve gone to Turkey so I would highly recommend them to one of the banks for your implants.
I had a gum graft procedure with Dr George, and as scary as that sounds, it was such a smooth process. Everything was well explained, I felt completely at ease, and honestly didn’t feel a thing due to the local anaesthetic. Looking forward to the next steps in my treatment with Invisalign
Cannot recommend Dental On the Banks highly enough! Everyone there is always so welcoming, professional and kind. Without doubt the best dental care I’ve ever received and we gladly travel further to get them since moving house. The extra distance is nothing when the care is so great. I had an awful experience with another dentist in Winton who missed the fact I needed a filling meaning I was left in pain for months and they became annoyed that I had to bring my son with me. Dental on the Banks sorted everything for me and is always so accommodating of my young children. I wouldn’t go anywhere else ever again.
Always a great service at DOTB. I have had wisdom tooth removal, whitening and hygienist services here. You feel really looked after and they take their time with you to make sure you are comfortable the whole time (the most gentle hygienist ever!). Whatever the issue is, I always feel like it will be resolved quickly and professionally at DOTB - thank you ! :)
Lovely premises, staff are friendly, and professional. The atmosphere in the practice is so relaxing, it is worth paying the little extra. I highly recommend Dental on the Banks.
My first appointment. Staff is friendly. Liberty, the treatment coordinator is very patient, listening to my long history and concerns, explaining the treatment plan clearly. She answered all my queries and put me at ease. And promptly emailed me the treatment plan, etc by the time I got home.
Each business needs to have 2 most important elements to be successful and survive, being Professional at what they do and Great customer service, So Dental on the Banks offers you Professionalism, great service and treats everyone with huge respect and makes you feel way more special. I am so lucky, grateful to know Dr Z.Yazdani and her amazing sons and family. They are gems. Highly recommend a million per cent 👌
Choosing Dental on the Banks for my invisiline journey was the best decision. The process was explained well in the first appointment. The ongoing treatment was completed in a smooth, efficient and professional capacity. All the staff are friendly and looked after me so well.I had zero problems throughout the treatment and I now have lovely straight white teeth! Worth every penny!Thank you Dental On The Banks 💗
I’m really happy I chose dental on the banks, they’ve been nothing but helpful and accommodating since I joined the Invisalign package with them. No ask is too much and they do their best to accommodate and fit to make my life easier. Super quick, super friendly, and shout out for how clean and amazing the clinic smells! Great friendly team, amazing choice for Invisalign too!!
Very happy with the dental hygienist service. Outstanding and I can smile again 😁Great to go there without long waiting time and booking 6 months in advance your appointment.Agnes was fantastic!
Excellent care & attention from Dr J, plenty of explanation & lots numbing medication made procedure painless! All the team are are excellent: the dental nurses, receptionists & fabulous hygienist which was also painless. Really recommend
Excellent dental service, everyone is very friendly and welcoming.I have been visiting DOTB since the beginning of the year and have undergone dental implant surgery. Now all complete and very successful. A big THANK YOU to George Bourne who carried out all his duties with such care and attention - the BEST!!!!
Brilliant service, George was very kind and knowledgeable and explained things well. Katie at the reception was also wonderful. Overall my experience was amazing and would recommend to anyone for any dental treatments.
Excellent service! They always make me feel at ease and explain everything so clearly. The whole team is friendly and welcoming, and I actually don’t dread going to the dentist anymore! Highly recommend.
I went to Dental on the Banks for my consultation for Invisalign and was greeted by friendly professional staff.I then had a xray etc and everything was greatly explained and felt at ease.The orthodontist was very professional and approachable and forged a plan which I am very excited to start.Highly recommend staff amazing and the equipment is state of the art.
The best dental surgery I’ve ever been to. Beautiful interior, doesn’t smell clinical, the staff are all fantastic and they go out of their way to provide the absolute best service!Always walk away feeling over the moon about any treatment I have.
My first appointment with Dental on the Banks. Rachel, Treatment co-ordinator was fantastic; informative, supportive, and caring. Reception staff were professional, kind, and made me feel welcome. I am looking forward to my dental journey with Dental on the Banks.My follow up with Jordan, Gum health professional, was a really positive, supportive, and informative experience. He was caring, listened and responded with thought for my health and what I wanted.
So today I had an impacted wisdom tooth removed under the care of Dr George & his lovely nurse…let’s just say I wouldn’t hesitate if I needed to have another one done. So gentle, did what they needed to do in a calm, controlled atmosphere, pain relief offered before the procedure with steroids to help reduce pain & inflammation, antibiotics provided if needed. A really good experience with something I was dreading. Highly recommend for all your dental needs! 🤩
Had the best first experience at Dental on the Banks. The staff are so lovely! Instantly make you feel relaxed, welcomed and in very good hands! The place doesn't feel in the slightest bit "clinical", it is really modern and tastefully decorated, feels very luxurious! I am completely confident in going forward with my treatment plan with Dental on the Banks, everything was explained to me in detail by the lovely Rachel, who completely put me at ease and answered all my questions. Every member of the team who dealt with me on my visit were fantastic and I would not hesitate to recommend!
It is always a great experience and amazing professionals at Dental on the Banks. My 5 years old daughters loves coming with me as she always says that" the place looks beautiful and it smells lovely". Thank you!
My daughter is only 11 years old, needs orthodontic treatment. The orthodontist is very professional, polite,understanding.This is a very high level of service. Overall we are very happy with the service.
An absolutely beautiful place. It's more like visiting a spa than a dentist but more importantly than the beautiful aesthetics was the service I received from the staff there. The lady who talked me through the whole process of Invisalign was an absolute delight, a consummate professional and very informative and patient with all my endless questions. Although the location is a bit out of the way for someone who relies on public transport I have no doubt in my mind that if I do decide to go ahead I will go nowhere else. A lof of businesses could learn a lot from this company about outstanding customer service because that is definitely what I received. I have confidence in this dental practice that I am in the hands of professional skilled dental staff and that my Invisalign journey with them will achieve amazing results that I will be very happy with. 5* service, 5* Practice. Fives across the board and would have no hesitation in recommending whatsoever. They also have an impressive amount of awards proudly on display which gives me even greater confidence. A very informative, detailed consultation with good demonstrations of how much difference Invisalign can have on the overall look of your teeth and face in general 😁
Dental on the Banks is a beautifully presented clinic with a brilliant team of dentists. Dr Yazdani is amazing…a true professional with a wealth of knowledge and expertise, she always puts you at ease and genuinely cares about her patients, thank you 🙏 I would 100% recommend!
My first appointment with Dental on the Banks. Rachel, Treatment co-ordinator was fantastic; informative, supportive, and caring. Reception staff were professional, kind, and made me feel welcome. I am looking forward to my dental journey with Dental on the Banks.
I visited Dental on the Banks today to start my Invisalign journey. The team were so lovely! Immediately greeted with warm smiles and friendly conversation, I experienced the same across all the team! Excited to be starting a great journey with them all.
My daughter is undergoing treatment with Invisalign braces, and in a short time we have already seen an incredible difference. We are very happy because now my daughter, who used to not smile, now smiles, because before she was embarrassed about her teeth, so it has not only helped her with a smile and beautiful teeth, but mainly psychologically it has helped my daughter a lot.And the dentists and staff are wonderful.The team is to be congratulated for the wonderful service you provide.🙏
Friendly and helpful receptionists. Although treatment for implants took over a year due to some complex problems, the results are good. Both the implants and the crowns are comfortable and match the rest of my teeth. Good painstaking work.I recommend this practice.
Dental On The BankI am thrilled to share my experience with my dental practice. They are fantastic and have truly helped me with my dental issues. After having many bad experiences with other dentists in the UK, I was relieved to find such a caring and professional team. From the reception, Liberty , Libby, ChloeI cannot thank Dr. John enough for his exceptional care. From the very first visit, he took the time to listen to my concerns and ensured that everything went according to plan. I am genuinely pleased with the results, and I highly recommend this practice to anyone in need of dental care.I will be having my Hygiene treatment with Grace and I am looking forward for it.Thanks for all the teamIhab Elsamannoudi